Можно ли нарастить зуб если осталась одна стенка
Можно ли восстановить зуб, если осталась одна стенка либо корень?

Красивые и здоровые зубы – мечта каждого. Чтобы иметь сияющую улыбку, необходим тщательный уход за полостью рта и регулярное посещение стоматолога. К сожалению, неудачный случай и последующее механическое повреждение зуба может привести вас в кресло стоматолога с единственным вопросом – можно ли восстановить зуб, если он откололся или вообще сломался под корень? Из данной статьи вы сможете узнать, что можно сделать при том или ином разрушении зуба.
От чего может разрушиться зуб?
Зуб – это сложный элемент нашего организма, лечение которого отнимает много времени и средств. Всем известно, что необходимо поддерживать здоровье зубов, тем не менее, случается такое, что в один момент зуб надкалывается, и это доставляет огромный дискомфорт и смотрится весьма не эстетично, особенно когда повреждены резцы. У одних людей это связанно с генетически слабым состоянием зубов, когда они очень подвержены перепадам температур, десны чувствительны и сама эмаль непрочная. Другие же сталкиваются с разрушением зуба, как следствие заболеваний, таких как кариес, повышенная стираемость зубов и травматический периодонтит.
Может отколоться как эмаль (верхний слой зуба), так и дентин (нижний твердый слой зуба, который скрывает под собой пульпу и нервные окончания), но встречаются и такие случаи, когда зуб разрушается полностью. Можно ли восстановить разрушенный зуб в том или ином случае, необходимо выяснить сразу после травмы. Ниже в статье вы найдете критерии оценки восстанавливаемости зуба при механическом повреждении.

Восстановление зубов: можно произвести при помощи пломбировочного материала или установки протеза
Когда зуб поддается восстановлению?
Чтобы выяснить, можно ли восстановить отколотый зуб, необходимо знать степень повреждения. Безусловно, если хоть какая-то часть зуба осталась в полости рта, нарастить его не составит труда. Специалисты помогут даже в том случае, если остался только корень. Но, прежде, чем приступить к реставрации, стоматолог должен убедиться, что у вас не имеется следующих патологий:
- Бруксизм (скрежет зубами);
- Воспалительные процессы в полости рта;
- Вредные привычки, связанные с открыванием бутылок, перекусыванием ниток и разгрызанием твердых предметов зубами;
- Заболевания крови и нервной системы;
- Кариес;
- Неправильный прикус;
- Несоблюдение гигиены ротовой полости;
- Чрезмерная подвижность зубов.
Помимо показаний по здоровью немаловажным фактором является финансовое благополучие, поскольку восстановление и реставрация зуба стоят немалых денег, что может существенно ударить по вашему бюджету.

Восстановление зубов: возможность возвращения белозубой улыбки напрямую зависит от финансовых возможностей человека
Как восстановить зуб при разных степенях повреждения?
Восстановление скола переднего зуба
Если у вас откололась небольшая часть зуба, что носит больше эстетический характер проблемы, в данном случае возможно нарастить коронку с помощью пломбировочного материала. Для этого вам потребуется сделать анестезию, наложить коффердам и нарастить отломанный уголок.
Восстановление половины зуба
На вопрос, можно ли восстановить половину зуба, ответ лежит на поверхности – можно. Для этого используют искусственную коронку, в некоторых случаях допустимо и использование штифтов. Есть специалисты, которые могут сразу отказаться реставрировать оставшуюся половину зуба. Не стоит отчаиваться, возможно, вам стоит найти более квалифицированного специалиста, так как в 21 веке возможно восстановление зуба практически на любой стадии повреждения.
Восстановление зуба из 1 стенки
Если у вас осталась одна стенка зуба, можно ли восстановить ее – вопрос несложный. С помощью искусственной коронки можно восстановить большую часть зуба и предохранить его от дальнейшего разрушения. Применение штифтов целесообразно только в случае, если повреждены резцы или клыки, так как на жевательные зубы приходится большая нагрузка и штифты не смогут с ней справиться. Кроме того, коронка – более надежна, особенно в случае, когда от вашего зуба осталось меньше половины.
Восстановление сломанного под корень зуба
Если зуб сломался под корень, можно ли восстановить – зависит от длины оставшегося корня. Его должно хватить для установки имплантатов. Толщина стенок у оставшегося корня отломившегося зуба должна быть минимум 1 мм. В таком случае сначала укрепляется оставшийся зуб с помощью штифта или культевой вкладки, а затем уже встает вопрос о восстановлении эстетичного внешнего вида. Как только восстановлена форма зуба, стоматолог приступает к коронковой части. Подбирается цвет эмали, наиболее соответствующей цвету ваших зубов, для создания внешнего слоя используют различные композитные материалы, а затем имплантат шлифуется для максимальной естественности.
Восстановление полностью разрушенного зуба
Можно ли восстановить полностью разрушенный зуб – открытый вопрос на данный момент. Все зависит от того, осталась ли хоть какая-то часть корня, а если осталась, то имеет ли смысл восстанавливать ее. В данном случае наилучшим выходом может стать не наращивание, а установка протеза. Прежде чем решать, можно ли восстановить зуб или на его место лучше установить искусственный, необходимо тщательное обследование полости рта и консультация высококвалифицированного стоматолога.
Итак, восстановление внешнего вида зуба – сложный процесс, но, слава богу, вполне реальный. Если у вас имеется скол или надлом зуба, не стоит ждать, а сразу же обращайтесь за помощью, чтобы не допустить дальнейшего разрушения зуба. Если же от зуба остался лишь корень, тем более не стоит медлить, качественные штифты или искусственная коронка спасут ваше положение, самое главное – это выбор грамотного специалиста, тогда ваши зубы прослужат вам долгие годы и десятки лет.
Источник: mixfacts.ru
Что делать, если у зуба откололась стенка до уровня десны, можно ли его нарастить?
Вряд ли найдется человек, который ни разу в жизни не сталкивался с трещинами или сколами на зубах. Существует огромное количество причин этой проблемы, но чтобы сохранить и продлить «срок службы» натурального зуба, нужно без промедления обращаться к специалисту. Какими способами можно выполнить реставрацию поврежденного элемента зубного ряда?
Отломилась часть зуба до десны: удалять или восстанавливать?
Чаще всего ломаются запломбированные зубы, из которых удалена пульпа (см. также: что делать, если при беременности ломаются зубы?). Единицы, полностью лишенные питания, становятся очень хрупкими, что приводит к появлению сколов даже при незначительной нагрузке. Однако если эта неприятность произошла, не стоит спешить удалять зуб.
В случаях, если зуб сломался ниже уровня десны и от него остались только корни, или он настолько поврежден, что на его месте виднеется одна стенка, грамотно проведенная процедура реставрации позволит единице прослужить еще не один год (рекомендуем прочитать: что делать, если сломался зуб, а его корень остался в десне?). Естественная для организма ткань всегда лучше, чем имплантат или мост.
В вышеописанных случаях врачи прибегают к протезированию или наращиванию, поскольку восстановить такой зуб обычной пломбой невозможно. Пациент не должен медлить с походом в стоматологию – врач закроет образовавшуюся полость пломбировочным материалом, чтобы уберечь остатки зуба от разрушения под воздействием бактерий до начала основного лечения.
Чтобы отреставрировать зуб, нужны определенные условия:
- отсутствие заболеваний в острой форме;
- правильный прикус;
- отсутствие гранулем, кист, кариеса, других болезней полости рта.

Показания к удалению
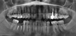
Перед тем как решить, что делать со сломанным зубом, врач проводит диагностику. Он беседует с пациентом, проверяет состояние поврежденной единицы, отправляет человека на рентген, чтобы выяснить, нет ли новообразований или переломов на корнях (подробнее в статье: перелом корня зуба: симптомы, причины и лечение). Врачи стараются всеми способами сохранить зуб, но в некоторых случаях он подлежит удалению:
Если зуб относительно функционален, но на его корне присутствует киста или гранулема, доктор может выполнить ампутацию корня или резекцию его верхушки – единицу получится сохранить и отреставрировать. В случае сильного воспалительного процесса с развитием периостита, абсцесса или образованием большой кисты элемент зубного ряда придется удалить.
Способы реставрации, плюсы и минусы
Штифт + пломба
Иногда кариес распространяется только вглубь зуба, не затрагивая его стенки, благодаря чему единицу можно отреставрировать относительно просто и быстро. Зуб укрепляют штифтом и пломбируют. Штифт – это миниатюрный стержень из стекловолокна или металла, который устанавливается в зубной канал и играет роль основания пломбы. Единицу восстанавливают в несколько этапов:
- выбирают материал для крепления пломбы;
- специальным инструментом убирают ткани, окружающие канал;
- фиксируют штифт стоматологическим цементом;
- заполняют пространство между стержнем и стенками зуба пломбировочным материалом.
Преимуществом этого метода реставрации является скорость – пациент может нарастить зуб за одно посещение стоматологического кабинета. Штифт позволяет возобновить функции единицы, разрушенной на 50% и более. Больно во время процедуры не будет – на депульпированном зубе можно проводить любые операции. Дискомфорт может ощущаться в десне, но специалист всегда предлагает пациенту местную анестезию.
Стоит помнить, что штифт и пломба – это самый ненадежный вид реставрации. Со временем у пациента могут появиться осложнения, связанные с нарушением технологии установки пломбы: она выпадет или постепенно под пломбировочным материалом разовьется вторичный кариес, стенки зуба станут тонкими и начнут крошиться. При самом плохом раскладе запломбированный зуб расколется так, что не будет подлежать восстановлению – его придется удалять.
Культевая вкладка + коронка
Если коронка зуба отломилась до самой десны, то его можно отреставрировать с использованием культевой вкладки и искусственной коронки. Вкладка изготавливается из композита, сплава металла или диоксида циркония. Это цельнолитая или разборная конструкция, которая фиксируется внутри единицы. Культевая вкладка отличается от штифта тем, что ее делают по индивидуальным слепкам. Процедура установки выглядит так:
- Стоматолог определяет, выдержит ли зуб монтаж конструкции, после чего обрабатывает каналы корня и делает слепки челюстей. Культевую вкладку будут изготавливать с использованием гипсовой модели, а единицу на это время закроют временной пломбой и коронкой.
- При повторном посещении врач удаляет временную пломбу, пломбирует каналы, расширяет и выпрямляет их. Снимают слепок с челюстей, по которому техник изготавливает восковую модель культи. После примерки изготавливают вкладку.
- Во время третьего визита к стоматологу вкладка вставляется в зуб, фиксируется цементом и сильно прижимается до затвердения. Затем на отреставрированный зуб надевают коронку.
Такой способ реставрации имеет ряд преимуществ, ведь нужную форму зуба легче создать на гипсовой модели, нежели во рту. Благодаря этому человек может с комфортом пользоваться восстановленной единицей. Цельная конструкция прочная, а равномерное распределение давления на поверхность обеспечивает ее длительную службу.
Недостатком данного метода реставрации является возможность появления вторичного кариеса, что приведет к хрупкости стенок зуба и выпадению культевой вкладки. К тому же мертвый зуб со временем темнеет, из-за чего начинает все сильнее отличаться от цвета протеза. Установка конструкции у стоматолога потребует минимум 2–3 посещений в течение недели.
Не всякий сломанный зуб можно восстановить таким образом (см. также: как можно восстановить зубы?). Противопоказанием станут слишком короткие или тонкие стенки зуба и каналов, а также подвижность единицы.
Виниры
Если у пациента откололась небольшая часть зуба, то его получится восстановить с помощью винира. Это тонкие накладки из композита или керамики, изготавливаемые по форме зубов человека. Виниры целесообразно устанавливать на передние и некоторые боковые зубы, которые заметны во время разговора или улыбки.
Если откололся кусочек единицы, то есть имеет место скол, будет установлен композитный винир (керамические накладки для этой цели не применяются). С лицевой части стачивают небольшой слой эмали на поврежденной единице. После этого с нее снимается слепок, по которому изготавливается накладка. Винир фиксируется, полируется. Вся процедура занимает около 2 часов.
Возможен и другой вариант. На обточенную единицу послойно наносится фотополимер. Затем зуб также полируется, убирается лишний объем.
Преимуществом этого метода восстановления элементов зубного ряда является возможность точно подобрать цвет винира под естественный оттенок эмали пациента. Пластины служат минимум 15–20 лет и не меняют свой цвет со временем.
Существенным недостатком виниров является их высокая цена, хрупкость, а также возможность установки только на вестибулярную поверхность зубов. Перед монтажом пластины врачу приходится стачивать слой твердых тканей зуба, но без этой процедуры восстановленная единица будет выглядеть слишком массивно.
Правила ухода за восстановленным зубом
Какой бы метод ни использовался для реставрации, нужно помнить, что это искусственная конструкция, а не натуральный зуб (см. также: реставрация зубов: фото до данной процедуры и после). Изделие требует аккуратной эксплуатации, но это не значит, что нужно кушать только пюре и каши, – врач делал зуб для того, чтобы восстановить жевательную функцию пациента. Однако человек должен воздерживаться от употребления орехов, семечек и разгрызания других твердых продуктов.

Нужно тщательно ухаживать за восстановленными зубами. Пациент обязан придерживаться правил гигиены:
- чистить зубы дважды в день;
- пользоваться интердентальными ершиками, ополаскивателем, зубной нитью;
- стараться не оказывать чрезмерное давление на восстановленную единицу;
- уменьшить потребление углеводистой пищи;
- проводить самостоятельный осмотр ротовой полости в поисках изменений (появления трещин, воспаления, потемнения и т. д.);
- посещать стоматолога два раза в год для профилактического осмотра.
Источник: azbukazubov.com
Можно ли нарастить зуб на пустом месте
Узнайте, можно ли нарастить зуб без штифта, если остался один корень или на пустом месте. Здесь вы сможете почитать советы специалистов, и узнать все тонкости.
Ответ:
Проблемы с зубами имеются практически у каждого, они же могут быть различными: кариес, дыры, нагноения, стертые десна или вовсе отсутствие зуба. Именно последний является самым сложным случаем, к нему стоматологи прибегают лишь в крайних случаях, так как восстановить зуб самостоятельно организм не может. К тому же восстановить зуб до недавнего времени не представлялось возможным. Раньше врачи использовали коронки из нержавеющих металлов, чтобы имитировать наличие зуба и дать возможность человеку жевать.
Сейчас активно ведутся разработки и совершенствования методов наращивания зуба. Уже существующие способы могут восстановить его лишь с использованием специального крепления, которое будет поддерживать его и направлять рост в нужном направлении. Но, можно ли нарастить зуб на пустом месте? Данная технология уже была изобретена, но пока не прошла полного курса исследования. В данный момент эксперимент ставился лишь на мышах, и было выявлено, что уже после 36 дней они достаточно хорошо укреплялись, а по прошествии 49 достигали нормального размера. По мнению стоматологов, важность управления роста новыми клетками становится следующим шагом в развитии стоматологии в этой области.
Наращивание зуба без штифта
Внешний вид человека — это его визитная карточка, которая дает ему возможность быть успешным, расти по карьерной лестнице и занимать высокую должность. Особенно важно иметь красивую улыбку, добиться которой в некоторых случаях крайне сложно. Данной проблеме подвержены те люди, который по каким-либо обстоятельствам потеряли зуб. Как известно он не восстанавливается и не может отрасти заново, поэтому принимается решение нарастить его.
Такая процедура порождает огромное количество вопросов, как, например, можно ли нарастить зуб без штифта? Чтобы ответить на него потребуется узнать в чем состоит суть наращивания.
Первый этап представляет собой подготовительный процесс, когда врач проводит чистку зуба от имеющихся загрязнений, налета, камней и так далее. После вводится анестезия, которую нельзя делать беременным женщинам и людям с аллергией на некоторые препараты.
Следующим этапом становиться удаление тканей зуба, чья поверхность поражена кариесом. Она проводится при помощи бора. В тех случаях, когда на месте наращивания имеется пломба её также высверливают. В дальнейшем зуб изолируют и вводят штифт. Его можно и не применять, если зуб был разрушен менее чем наполовину и не был депульпирован. В противном случае он не выдержать нагрузки и выпасть. Заключительным этапом становиться наращивание и покрытие готового зуба пломбирующими материалами.
Наращивание зуба на корень
Развитие медицины подарило людям возможность не только лечить болезни, но и восстановить некоторые части тела, среди которых зубы. Сейчас практически каждая стоматологическая клиника предлагает своим клиентам услугу наращивания, способную на месте остатка зуба воссоздать новый или же сделать имитацию старого. Она имеет много преимуществ перед коронками, так как имеется натуральный цвет и создает видимость настоящего зуба. Соответственно, такая процедура достаточно тяжелый процесс, перед началом которого стоматолог должен исследовать зуб и прилегающие фары, тем самым приняв решение относительно метода наращивания.
Важным моментом в таком исследовании проверка наличия корня. Поэтому возникает вопрос, можно ли нарастить зуб если остался только корень и одна стенка, или их вовсе нет? Да такой процесс вполне возможен, самое главное наличие корня. Он необходим для того чтобы ввести туда штифт, который служит опорой для создаваемого зуба. Именно на нем будет сосредоточена вся масса, которая будет удерживаться таким устройством. Если не устанавливать его, то наращиваемая конструкция может выпасть в ближайшее время, а вся процедура должна будет проводиться заново. Таким образом, наличие корня дает возможность восстановления зуба.
Источник: www.all-answers.ru
Можно ли нарастить сломанный зуб, если осталась одна стенка или зуб откололся до десны?
Многие задумываются — какой способ лечения сломанного зуба выбрать, удалять или восстанавливать?». С развитием медицинских технологий, проще и лучше — реставрировать. Процесс лечения должен проходить с использованием только качественных материалов, чтобы в дальнейшем стенка зуба не смогла отколоться или отвалиться.
Причины разрушения зуба
Причины бывают разные, начиная от климата места вашего проживания, доходя до личных болезней, способных оказывать влияние на полость рта и ее ткани. Подробнее разбирая факторы влияющие на разрушение, наиболее ярко выделяются следующие:
- Температурные. Именно температура окружающей среды может сильно влиять на здоровье рта. Резкие перепады температуры воздуха способны образовывать отверстия, которые открывают нервные окончания и корень.
- Физические повреждения. К такому виду воздействия относятся удары и травмы, которые способны как сломать зуб полностью, так и отколоть его часть.
- Личная гигиена. Именно из-за недостаточного ухода за полостью рта появляются дефекты, которые разрушают дентин, и оказывать влияние на здоровье зуба.
Процесс разрушения можно предугадать — он состоит из нескольких этапов:
- Начало его лежит в коронке, а именно в ее желтении. Если Вы обнаружили пожелтение, обратитесь к стоматологу. При отсутствии своевременного лечения появится кариес, который в конце концов сможет разрушить зубы.
- Следующим признаком послужит смягчение эмали, которое особенно остро ощущается при приеме холодной или горячей пищи. Если вовремя не уделить внимания смягчению эмали, со временем откроются места с нервными окончаниями, что вызовет сильную боль.
- Третий и основной признак — изменение формы зуба, что также говорит о его неудовлетворительном состоянии. Сдвиг зубов можно объяснить тем, что твердые ткани не в состоянии удержать его на месте.
ЧИТАЕМ ТАКЖЕ: как очистить зубы от кариеса взрослому или ребенку?
В каких случаях можно восстановить?

На сегодня, стоматология достигла больших результатов, поэтому возможно наращивание любой сложности. Необходимость лечения появляется при следующих признаках:
- Если зуб подвержен гниению или влиянию кариеса (рекомендуем прочитать: как можно удалить кариес с зубов в домашних условиях?). Недостаток своевременного лечения может стать причиной повреждения твердых тканей и даже их полного распада, но это не самое страшное. Существует вероятность, что болезнь перекинется с уже разрушенного и больного зуба на здоровый. Не предавая этому большое значение можно лишиться зубов всего ряда.
- Допустим, что произошел откол небольшой части эмали. Это не страшно, но выглядит этого не очень красиво, поэтому необходимо обратиться к стоматологу.
ЧИТАЕМ ТАКЖЕ: как выглядит кариес между зубами и его лечение
Восстановление при разных повреждениях
Следующим этапом будет выступать ознакомление с возможными травмами, и способами их лечения. В данной статье их будет приведено несколько:
Легкий ушиб
Такой ушиб не очень опасен в сравнении с другими видами травм и несет в себе преимущественно лишь острую боль в месте удара. Одним из неприятных последствий такого ушиба может стать кровоизлияние в пульпу.
Когда вы ушибли зуб, употребление пищи может быть болезненным. В случае отсутствия кровоизлияния достаточно ничего не кусать, и не трогать больную область, тогда через несколько часов боль утихнет. В случае с наполненной кровью пульпой визит к стоматологу обязателен, потому что необходимо будет хирургическое вмешательство. Оно будет состоять из разрезания тканей и удаления пульпы, а также пломбирования всех каналов.
Перелом
Перелом чаще всего случается в результате воздействия на зубы какой-то механической силы. Также перелом может быть получен при ударе. Сам процесс лечения будет происходить в зависимости от полученных повреждений. Когда сломана лишь малая часть зуба, ее можно легко реставрировать без хирургического вмешательства. При серьезных повреждениях врач стоматолог будет принимать решение о дальнейших действиях вплоть до удаления.
Вывих
Это довольно серьезный дефект, который может быть вызван воздействием большой силы. В случае с крепкими деснами шансы вывиха очень невысоки. Проблема может возникнуть у людей со слабыми деснами. В таком случае зуб легко вывихнуть даже при употреблении пищи. Есть разные виды вывихов и все они делятся на несколько типов, среди которых выделяю следующие:
- изолированный,
- перелом корневой части,
- повреждение альвеолярного отростка.
К способам лечения относятся:
- ампутация пульпы,
- пломбировка больных каналов,
- выпрямление и дальнейшая фиксация,
- установка зуба на его начальное положение.
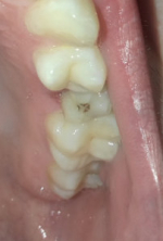
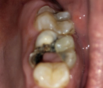
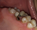
Осталась одна стенка зуба
После повреждения осталась лишь одна стенка? Такая ситуация не особо критична, ровно как и если у вас откололась небольшая часть зуба (рекомендуем прочитать: что делать, если кусочек зуба откололся?). В таких случаях восстановить здоровье десны и зубов можно с помощью:
- использования коронки,
- полного наращивания с использованием штифтов.
В варианте с наращиванием вам придется платить за штифты и материал, соответственно цена будет зависеть от материала. Чем хорош такой способ? После наращивания зуб будет выглядеть как родной и иметь идеальную форму, нервные каналы и корень зуба будут защищены от воздействия внешних факторов. При использовании высококачественных материалов данная конструкция никогда не отломится.
ЧИТАЕМ ТАКЖЕ: как осуществляется наращивание передних зубов в стоматологии?
Откололся передний зуб
Когда у вас откалывается или шатается зуб, это может означать, что есть одна из приведенных ниже проблем:
- недостаток кальция в организме,
- трещина, которая появилась задолго до этого.
Самым правильным способом лечения при сколе станет наращивание. Такой способ уместен, если произошел скол только одной части. В этом случае стоматолог может подравнять оставшуюся часть.
В ситуации с отколом всего зуба наращивание происходит с использованием штифтов, которые будут служить основанием для будущего зуба, но перед наращиванием врач удалит все нервы зуба.
Если зуб сломан под корень
Перелом происходит по следующим причинам:
- ранее зуб был подвержен влиянию кариеса,
- были удалены все нервы зуба.
В результате этих факторов мы получаем тонкие стенки зуба. Появляется вопрос: «Восстанавливать зуб, или же удалять его?». Решение предоставляется стоматологу. Если зуб был сломан ниже уровня десны, то, конечно он будет удален. Если не произвести удаление вовремя, имеется риск гниения, что в будущем доставит большие неприятности в виде боли и пагубно скажется на здоровье десны. Если же скол не очень большой, то зуб может быть восстановлен следующими способами:
- При сколе всего зуба коронки и всевозможные пломбы не используются, потому что они недолговечны. Для восстановления подойдут композитные материалы или амальгама.При сколе всего зуба коронки и всевозможные пломбы не используются, потому что они недолговечны. Для восстановления подойдут композитные материалы или амальгама (рекомендуем прочитать: как проводится восстановление зуба с одной стенкой?).
- Возможна установка штифта с коронкой на нем. Данный способ используется если от зуба не остается ничего, и требуется наращивание нового зуба.1. Возможна установка штифта с коронкой на нем. Данный способ используется если от зуба не остается ничего, и требуется наращивание нового зуба.
ИНТЕРЕСНО: все о модной процедуре наращивания клыков
Зуб полностью разрушен
Причиной разрушения даже запломбированного зуба может стать все тот же кариес. Из этого стоит сделать вывод, что если не следить за развитием кариеса, то зуб может разрушиться, либо раскрошиться под корень. Можно сделать и новый, в таком случае применяют штифт и специальную вкладку, с помощью которых можно нарастить внутреннюю часть, служащую основой для нового зуба. После того, как основа будет сделана, ставят коронку, которая будет защищать зуб.
Источник: spacream.ru
Что можно сделать, если откололась стенка зуба?
На данный момент нахожусь в Китае, есть сложности в языковом барьере. Беда такая: сломалась стенка жевательного зуба. В стоматологии сделали снимок и вроде, как я поняла сказали, что сделать не могут.
Можете ли Вы подсказать, что можно сделать?
Данный зуб удаляется, если причина — межкорневое воспаление. Данное воспаление не подлежит лечению.
Комментарии и отзывы 32
У меня от зуба осталась одна стенка и дырка. Стенка зуба начала шататься. Что лучше стоит сделать вырвать зуб или нарастить?
Ответить
Необходим прицельный рентгеновский снимок данного зуба. Скорее всего, если осталась одна стенка зуба ещё и подвижная, то зуб подлежит удалению. Но более точно можно сказать после осмотра. Проконсультируйтесь со стоматологом-ортопедом.
Ответить
Врач стоматолог-хирург-имплантолог, К.М.Н. Стаж работы 15 лет.
У меня из зуба вывалилась пломба. Зуб без нерва, так как его удалили. От зуба помимо пломбы отвалились некоторые стенки. Обязательно ли удалять зуб? И если уж и удалять, то больно будет или нет?
Ответить
Оценить необходимость удаления зуба можно по рентгеновскому снимку. Вам необходимо сделать прицельный рентгеновский снимок и обратиться к стоматологу-терапевту. Если корни зуба пролечены хорошо, не воспаления в области верхушки корня и сам корень целый, то возможно ортопедическое восстановление зуба (штифт + вкладка, штифт + коронка). Конечно, если корень в плохом состоянии, то зуб удалят. Бояться не стоит, современные анестетики очень мощные и при должном проведении анестезии пациенты ничего не чувствуют.
Ответить
Врач стоматолог-хирург-имплантолог, К.М.Н. Стаж работы 15 лет.
У меня сегодня откололась стенка верхнего жевательного зуба, что приносит большой дискомфорт. Как лечить зуб в подобном случае?
Ответить
Необходим осмотр и прицельный рентгеновский снимок зуба. 1) Как правило, стенка зуба скалывается, когда жевательный зуб ранее был лечен и восстановлен пломбой больших размеров. И при жевании тонкая стенка не выдерживает нагрузки и скалывается. 2) Если скол произошёл ниже уровня десны – это показание к удалению зуба и восстановлению дефекта имплантом или мостовидным протезом. Если выше уровня десны, тогда эндодонтическое лечение зуба и восстановление его вкладкой и коронкой. Проконсультируйтесь очно со стоматологом-терапевтом.
Ответить
Врач стоматолог-хирург-имплантолог, К.М.Н. Стаж работы 15 лет.
Знаю, что запустил зубы, но планирую в ближайшее время посетить стоматолога. Была пломба, выпала, внутренняя часть зуба сломалась, внешней части нет. Это же пульпит? Удалят зуб?
Ответить
Необходим прицельный рентгеновский снимок зуба и осмотр. Скорее всего, в зубе возникло такое осложнение как периодонтит. Воспалительный процесс уже в костной ткани за верхушкой корня зуба. Коронковая часть зуба поражена кариесом, есть скол стенки зуба под десной, мало здоровых твердых тканей зуба, много деминерализованных тканей, поэтому такой зуб подлежит удалению. Проконсультируйтесь со стоматологом-хирургом. После удавления, дефект следует заместить имплантом или мостовидным протезом.
Ответить
Врач стоматолог-хирург-имплантолог, К.М.Н. Стаж работы 15 лет.
У меня на нижней челюсти второй зуб слева без стенки. Можно ли спасти зуб? Если не спасти, то нужно устанавливать имплант или мост?
Ответить
Нет, так как зуб разрушен до области бифуркации корней. Поэтому такие зубы рекомендуется удалить и восстановить дефект зубного ряда посредством импланта или ортопедической конструкции.
Ответить
Врач стоматолог-хирург-имплантолог, К.М.Н. Стаж работы 15 лет.
У меня наполовину раскрошился зуб и болит (самый дальний нижний зуб). Очень боюсь идти к стоматологу. После того как у меня был пульпит такого же зуба тока с правой стороны и мне его чудом вылечили. И я решился пойти сейчас к стоматологу. Можно ли такой зуб вылечить как-нибудь, стенку зуба восстановить или проще удалить?
Ответить
Вообще не следует переживать. Стоматология сейчас на очень высоком уровне развития, применяются сильнейшие обезболивающие. 1) Исход лечения зависит от клинического осмотра и рентгеновского снимка. Если на рентгенограмме корни зуба в хорошем состоянии, без патологического воспаления, то будет проведена чистка и пломбирование каналов, а клиническую коронку восстановят по показаниям композитом, штифт + композит или ортопедической коронкой. 2) Если корни зуба в плохом состоянии, то такой зуб по удаление.
Ответить
Врач стоматолог-хирург-имплантолог, К.М.Н. Стаж работы 15 лет.
После клыка на жевательном зубе откололась внутренняя часть, и треснула наружная часть. 4 месяца назад не поставила пломбу проходила с временной пломбой, а сейчас рушится. Врач говорит мягкие корни. Можно ли не удалять зуб, а восстановить?
Ответить
По снимку можно сказать, что нет здоровых твердых тканей коронковой части зуба для последующего восстановления. Если при визуальном осмотре обнаружено много размягченного деминерализованного дентина, тогда это показание к удалению зуба. После дефект можно заместить имплантатом. Проконсультируйтесь очно со стоматологом-хирургом.
Ответить
Врач стоматолог-хирург-имплантолог, К.М.Н. Стаж работы 15 лет.
У меня треснула стенка зуба. У этого зуба была пломба со штифтом. Теперь осталась только пломба. Что можно сделать?
Ответить
Необходимо сделать рентгеновский снимок и оценить состояние корня. Если отсутствуют воспалительный деструктивный процессы, а также перелом или трещина корня, то анатомическую форму зуба можно восстановить ортопедической коронкой.
Ответить
Врач стоматолог-хирург-имплантолог, К.М.Н. Стаж работы 15 лет.
Зуб наращивали 15 лет назад, только одна стенка была целая, пломба на ползуба. Ближе к десне очень темная оставшаяся часть зуба, давно уже. Откололась вчера стенка зуба, которая нормальная была. Зуб шатается. Что делать? Бежать коронку ставить или вырывать?
Ответить
Вам необходимо обратиться к квалифицированному стоматологу-терапевту. Все зависит от состояния корней. Если имеется воспаление и резорбция костной ткани в периапикальных тканях, то рекомендуется установить штифт и затем коронку. В случае если имеется обширное воспаление, то это прямое показание к удалению.
Ответить
Врач стоматолог-хирург-имплантолог, К.М.Н. Стаж работы 15 лет.
Запломбировали каналы. Можно ли поставить штифт, а не коронку, если осталась одна стенка жевательного зуба?
Ответить
Если большая часть коронковой части зуба разрушена, в данном случае осталась только одна стенка, то устанавливается штифт, а далее подбирается план лечения. Либо коронковая часть восстанавливается композиционным материалом, либо ортопедической конструкцией (коронкой, вкладкой). Но штифт в любом случае необходим, для придания прочности конструкции.
Ответить
Врач стоматолог-хирург-имплантолог, К.М.Н. Стаж работы 15 лет.
Источник: topdent.ru
Можно ли нарастить сломанный зуб, если осталась одна стенка или зуб откололся до десны?
Многие задумываются — какой способ лечения сломанного зуба выбрать, удалять или восстанавливать?». С развитием медицинских технологий, проще и лучше — реставрировать. Процесс лечения должен проходить с использованием только качественных материалов, чтобы в дальнейшем стенка зуба не смогла отколоться или отвалиться.
Причины разрушения зуба
Причины бывают разные, начиная от климата места вашего проживания, доходя до личных болезней, способных оказывать влияние на полость рта и ее ткани. Подробнее разбирая факторы влияющие на разрушение, наиболее ярко выделяются следующие:
- Температурные. Именно температура окружающей среды может сильно влиять на здоровье рта. Резкие перепады температуры воздуха способны образовывать отверстия, которые открывают нервные окончания и корень.
- Физические повреждения. К такому виду воздействия относятся удары и травмы, которые способны как сломать зуб полностью, так и отколоть его часть.
- Личная гигиена. Именно из-за недостаточного ухода за полостью рта появляются дефекты, которые разрушают дентин, и оказывать влияние на здоровье зуба.
Процесс разрушения можно предугадать — он состоит из нескольких этапов:
- Начало его лежит в коронке, а именно в ее желтении. Если Вы обнаружили пожелтение, обратитесь к стоматологу. При отсутствии своевременного лечения появится кариес, который в конце концов сможет разрушить зубы.
- Следующим признаком послужит смягчение эмали, которое особенно остро ощущается при приеме холодной или горячей пищи. Если вовремя не уделить внимания смягчению эмали, со временем откроются места с нервными окончаниями, что вызовет сильную боль.
- Третий и основной признак — изменение формы зуба, что также говорит о его неудовлетворительном состоянии. Сдвиг зубов можно объяснить тем, что твердые ткани не в состоянии удержать его на месте.
В каких случаях можно восстановить?

На сегодня, стоматология достигла больших результатов, поэтому возможно наращивание любой сложности. Необходимость лечения появляется при следующих признаках:
- Если зуб подвержен гниению или влиянию кариеса (рекомендуем прочитать: как можно удалить кариес с зубов в домашних условиях?). Недостаток своевременного лечения может стать причиной повреждения твердых тканей и даже их полного распада, но это не самое страшное. Существует вероятность, что болезнь перекинется с уже разрушенного и больного зуба на здоровый. Не предавая этому большое значение можно лишиться зубов всего ряда.
- Допустим, что произошел откол небольшой части эмали. Это не страшно, но выглядит этого не очень красиво, поэтому необходимо обратиться к стоматологу.
Восстановление при разных повреждениях
Следующим этапом будет выступать ознакомление с возможными травмами, и способами их лечения. В данной статье их будет приведено несколько:
Легкий ушиб
Такой ушиб не очень опасен в сравнении с другими видами травм и несет в себе преимущественно лишь острую боль в месте удара. Одним из неприятных последствий такого ушиба может стать кровоизлияние в пульпу.

Перелом
Перелом чаще всего случается в результате воздействия на зубы какой-то механической силы. Также перелом может быть получен при ударе. Сам процесс лечения будет происходить в зависимости от полученных повреждений. Когда сломана лишь малая часть зуба, ее можно легко реставрировать без хирургического вмешательства. При серьезных повреждениях врач стоматолог будет принимать решение о дальнейших действиях вплоть до удаления.
Вывих
Это довольно серьезный дефект, который может быть вызван воздействием большой силы. В случае с крепкими деснами шансы вывиха очень невысоки. Проблема может возникнуть у людей со слабыми деснами. В таком случае зуб легко вывихнуть даже при употреблении пищи. Есть разные виды вывихов и все они делятся на несколько типов, среди которых выделяю следующие:
- изолированный;
- перелом корневой части;
- повреждение альвеолярного отростка.
К способам лечения относятся:
- ампутация пульпы;
- пломбировка больных каналов;
- выпрямление и дальнейшая фиксация;
- установка зуба на его начальное положение.
Осталась одна стенка зуба
После повреждения осталась лишь одна стенка? Такая ситуация не особо критична, ровно как и если у вас откололась небольшая часть зуба (рекомендуем прочитать: что делать, если кусочек зуба откололся?). В таких случаях восстановить здоровье десны и зубов можно с помощью:
- использования коронки;
- полного наращивания с использованием штифтов.
В варианте с наращиванием вам придется платить за штифты и материал, соответственно цена будет зависеть от материала. Чем хорош такой способ? После наращивания зуб будет выглядеть как родной и иметь идеальную форму, нервные каналы и корень зуба будут защищены от воздействия внешних факторов. При использовании высококачественных материалов данная конструкция никогда не отломится.
Откололся передний зуб
Когда у вас откалывается или шатается зуб, это может означать, что есть одна из приведенных ниже проблем:
- недостаток кальция в организме;
- трещина, которая появилась задолго до этого.
Самым правильным способом лечения при сколе станет наращивание. Такой способ уместен, если произошел скол только одной части. В этом случае стоматолог может подравнять оставшуюся часть.

Если зуб сломан под корень
Перелом происходит по следующим причинам:
- ранее зуб был подвержен влиянию кариеса;
- были удалены все нервы зуба.
В результате этих факторов мы получаем тонкие стенки зуба. Появляется вопрос: «Восстанавливать зуб, или же удалять его?». Решение предоставляется стоматологу. Если зуб был сломан ниже уровня десны, то, конечно он будет удален. Если не произвести удаление вовремя, имеется риск гниения, что в будущем доставит большие неприятности в виде боли и пагубно скажется на здоровье десны. Если же скол не очень большой, то зуб может быть восстановлен следующими способами:
- При сколе всего зуба коронки и всевозможные пломбы не используются, потому что они недолговечны. Для восстановления подойдут композитные материалы или амальгама.При сколе всего зуба коронки и всевозможные пломбы не используются, потому что они недолговечны. Для восстановления подойдут композитные материалы или амальгама (рекомендуем прочитать: как проводится восстановление зуба с одной стенкой?).
- Возможна установка штифта с коронкой на нем. Данный способ используется если от зуба не остается ничего, и требуется наращивание нового зуба.1. Возможна установка штифта с коронкой на нем. Данный способ используется если от зуба не остается ничего, и требуется наращивание нового зуба.
Зуб полностью разрушен
Причиной разрушения даже запломбированного зуба может стать все тот же кариес. Из этого стоит сделать вывод, что если не следить за развитием кариеса, то зуб может разрушиться, либо раскрошиться под корень. Можно сделать и новый, в таком случае применяют штифт и специальную вкладку, с помощью которых можно нарастить внутреннюю часть, служащую основой для нового зуба. После того, как основа будет сделана, ставят коронку, которая будет защищать зуб.
Источник: pro-zuby.com
