На месте удаленного зуба что то белое
На месте удаленного хирургом зуба появился белый налёт
Белый налёт после удаления зуба — не редкость. Большинство пациентов после неприятной процедуры экстракции обычного или зуба мудрости со временем обнаруживают образование налёта в месте его прошлой локализации, что немного деморализирует, а иногда и вовсе пугает. Поэтому нам следует разобраться, что такое белый налёт и какую опасность он представляет для нашего организма?
Причины возникновения налёта
Следует заметить, белый налёт в лунке после того, как удалили зуб, в стоматологии принято считать нормой. Как только был вырван зуб, кровь в ранке активно сворачивается, что приводит к образованию сгустка. В данном случае сгусток представляет собой защитный барьер, который выступает в роли препятствия к проникновению инфекций вглубь раны.
По истечению 1-2 суток кровяной сгусток преобразовывается в костную ткань, при этом может быть виден белый налёт. Фибринозная плёнка налёта представляет реакцию организма на повреждение. Она, по сути, является проявлением обычного белка, выделяемого из плазмы нашей крови.

Налёт и неприятный запах
Мы уже выяснили, что белый налёт на месте вырванного зуба считается нормой. А сопутствующий неприятный запах изо рта может считаться таковой?
Важно! Неприятный запах появляется по той причине, что человеку после операции сложно соблюдать обычную гигиену.
Случается так, что после извлечения зуба мудрости тяжело открыть рот для приёма пищи, не говоря уж о чистке зубов.
Многие пациенты стараются выполоскать кровяной сгусток, используя ментоловые ополаскиватели. Делать это настоятельно не рекомендуется до образования белого налёта, поскольку можно повредить его. Кроме того, во время ополаскивания, когда уже есть белая плёнка, не создавайте вакуум в полости рта, который может её ликвидировать. Если уж сильно требуется использовать ополаскиватель, разбавьте его водой и держите во рту некоторое время.
В каких случаях требуется повторный визит к стоматологу
Экстракция зубов, особенно зубов мудрости, не всегда проходит качественно. Помимо этого в кровь может попасть инфекция.
Чтобы не было пагубных последствий, следите за следующей симптоматикой:
- серый налёт в лунке;
- высокая базальтовая температура держится 3 и больше дней;
- в месте удаления вы чувствуете пронизывающую боль или пульсацию.
Такая симптоматика говорит о сбое в организме. Поэтому рекомендуем повторно обратиться к стоматологу-хирургу, а если почувствуете сильную боль в ночное время суток – вызвать скорую.
Как вести себя после операции
Чтобы избежать осложнений после проведённой операции по экстракции зуба:
- запрещается в течение суток осуществлять полоскания;
- не кушать жёсткую, острую или горячую пищу;
- не старайтесь собрать налёт на ватный тампон;
- запрещается разбивать кровяной сгусток, образовавшийся по прошествии нескольких часов после удаления;
- нужно аккуратно чистить зубы.
Как определить заживление десны
Десна становится немного отёчной после извлечения зуба. Это нормально. В течение нескольких часов появляется кровяной сгусток, заполняющий лунку (иногда чуть выступает за края).
После хирургического вмешательства тромбоциты крови разрушаются, выделяя тканевые медиаторы, заставляющие вновь сформировавшиеся клетки кости перемещаться в центральную часть лунки от краёв.

Слюна способствует стабилизации фибрина (белка), формирующегося при свёртывании крови. Определённое количество белка просачивается наружу в качестве белого налёта. Именно этот налёт является биологическим предохранителем сгустка от взаимодействия с микроорганизмами полости рта.
По истечению 5-7 дней после ликвидации зуба налёт на десне исчезает, и слизистая начинает приобретать стандартную окраску. Его полное рассасывание стоматологи принимают за последнюю стадию заживления. На 10-14-й день новая ткань эпителия полностью закрывает устье лунки.
Альвеолит: как обнаружить и что делать
Разрушение кровяного сгустка, который собрался на месте вырванного зуба, способно привести к альвеолиту –серьёзному воспалению тканей десны в лунке зуба. Он возникает в результате:
- неправильной гигиены полости рта;
- проникновения инфекции из периодонтального очага в случае, когда зуб удалялся во время обострения периодонтита;
- когда используют анестетики в симбиозе с адреналином, которые привели к отсутствию кровяного сгустка, из-за чего костные стенки не получили нужной защиты;
- оторвался сгусток из-за ополаскивания или потребления пищи;
- не до конца вырванного зуба.

В большинстве случаев альвеолит возникает на третий-четвертый день. Выявить его наличие просто:
- сильная боль в месте локализации, которая усиливается при приёме пищи или надавливании;
- отёчность десны
- гнойный налёт грязно-белого или серого цвета;
- неприятный запах изо рта;
- привкус гноя.
Чтобы восстановить участок поражения, потребуется удаление налёта стоматологом с применением дезинфицирующих растворов, а также курс медикаментозного лечения, направленный на повышение сил организма в борьбе с данной патологией.
Кроме того, в качестве лечения врач будет рекомендовать промывание лунки и специальные примочки. В этих целях часто используют раствор марганцовки плюс перекись, компоненты которого, вступая в реакцию, образуют пену. Благодаря ей осуществляется вымывание инфицированных тканей и регенерация новых.

Острый край лунки
Когда заживает лунка, происходит формирование косной ткани и слизистой оболочки. Подразумевается защита кости тканями десны или сгустком крови. Случается так, что одна из стенок отверстия выступает над другими, либо имеет заострённый не закруглённый край. В таком случае, она прорезает слизистую и выпячивается, оставаясь незащищённой.
Такой незащищённый фрагмент может послужить причиной развития альвеолита, но, зачастую, он приводит к формированию остроконечного края.
Важно! Если прошло пару недель после операции удаления, а в лунке видна белая точка, которая плотная на ощупь и заострённая на вид, то сформировался острый край лунки.
Конечно же, выступающий участок можно ликвидировать самостоятельно. Но во избежание осложнения инфекцией, лучше всего нанести визит доктору (стоматологу-хирургу). Он проведёт удаление фрагмента, используя щипцы или бормашину, в некоторых случаях при необходимости разреза, зафиксирует его швом.
Удалили зуб не до конца
Если вам изъяли зуб не до конца, то лунка сначала выглядит, как и при норме – образуется белая плёнка. Но на 3-4 день десна начинает отступать, показывая фрагмент «забытого» корня.
В большинстве случаев удаление корней зуба не до конца приводит к воспалению – альвеолиту. Если у вас крепкие защитные силы организма, а гигиена полости рта в норме, воспаления можно избежать.
Конечно же, выступающий фрагмент лучше удалить. Для этого вновь обратитесь к хирургу, который, в первую очередь, должен направить вас на рентгенографию.
Подводим итог
Таким образом, нормальным после удаления зуба считается налёт белого цвета. Если же вы заметили появление жёлтого или серого гноя, то у вас начинает развиваться воспалительный процесс, именуемый альвеолитом. В таком случае рекомендовано ещё раз посетить стоматолога.
Источник: posleudaleniya.ru
Образование белого фибринозного налета в лунке на десне после удаления зуба: фото и необходимое лечение
Нередко пациенты стоматологов замечают, что после экстракции зуба на десне появилось белое пятно, которое вызывает беспокойство. Опасно ли оно, нужно ли предпринимать меры по его удалению и стоит ли при появлении налета обращаться к врачу? Разберемся с этими вопросами, чтобы развеять страхи и сомнения.
Заживление лунки после удаления зуба
Точных сроков послеоперационного восстановления после удаления зуба нет – это связано с индивидуальными особенностями организма каждого человека. Известно лишь, что костная ткань начинает образовываться по истечении месяца после операции, а процесс заживления десны запускается в первый же день. На скорость регенерации влияет слюна и ферменты, содержащиеся в ней.
Восстановление проходит в несколько этапов:
- В первый день в лунке образуется сгусток крови, который необходим для нормального заживления раны. Чтобы сгусток не выпал, следует воздержаться от полоскания рта, можно делать ванночки.
- На 2-3 день на месте удаленного зуба появляется белесая пленка.
- На третьи сутки на ранке образуется тонкая эпителиальная ткань, которая свидетельствует о том, что процесс заживления уже начался.
- На 3-4 день появляются гранулемы — элементы из соединительной ткани, замещающие тонкий эпителий.
- Через неделю грануляции вытесняют сгусток крови. Его небольшая часть остается только в центре лунки, эпителий покрывает ранку снаружи. Слизистая приобретает стандартный цвет.
- Через полмесяца ранка полностью покрывается эпителием. Постепенно начинает расти костная ткань.
- Спустя 30 дней костная ткань практически полностью заполняет оставшуюся после удаления зуба дырку.
- По истечении 4 месяцев края альвеол и раны уменьшаются, костная ткань лунки становится такой же плотной, как и челюсть.

Причины появления белого налета
У многих пациентов вызывает беспокойство белое пятно, которое образуется на месте удаленного зуба спустя пару дней. Переживать из-за него не стоит, ведь это абсолютно нормальное явление.
Пленка белого цвета – это образующийся из плазмы белок фибрин. Он появляется вследствие некроза клеток, которые «выходят» наружу, уступая место новому эпителию. В слюне человека есть специальное вещество, стабилизирующее фибрин.
Фибринозный белый налет выполняет важную функцию: он защищает лунку от проникновения болезнетворных микроорганизмов и механических травм. Чаще всего заметная плотная пленка появляется на ране после удаления зуба мудрости (рекомендуем прочитать: что делать, если болит десна после удаления зуба мудрости?). Пациенты принимают ее за скопления остатков пищи или гноя. Попытки вымыть фибриновое наслоение приводят к прерыванию регенеративного процесса. В рану может попасть инфекция.
Сопутствующий заживлению раны неприятный запах можно считать вариантом нормы. Он появляется из-за того, что человеку, особенно после экстракции зуба мудрости, бывает трудно широко открыть рот для выполнения гигиенических процедур.
Стоит помнить, что до образования белой фибриновой пленки нельзя использовать ментоловые ополаскиватели для уничтожения болезнетворных микроорганизмов, иначе кровяной сгусток может выпасть. Как выглядит налет на месте вырванного зуба, можно увидеть на фото.
Лунка без белого налета: хорошо это или плохо?
Белый налет после удаления зуба – первый признак заживления (рекомендуем прочитать: долго ли обычно заживает десна после удаления зуба?). Фибрин защищает рану от любого негативного воздействия извне, пока ткани не восстановятся. Пленка образуется над каждым зубом, но ее не всегда видно.
Интенсивность формирования налета зависит от индивидуальных особенностей организма пациента и степени повреждения тканей. Если у одного человека пленка может быть совсем незаметна, то у другого она будет видна невооруженным глазом. Спустя неделю после экстракции белесый налет постепенно растворяется, поскольку формируется эпителиальный защитный барьер, свидетельствующий о начале финального периода поверхностного заживления.
Когда стоит обратиться к врачу?
Иногда образование налета на десне означает, что заживление проходит с осложнениями. Отличить нормальную фиброзную пленку от проявлений патологического процесса сможет только специалист.

Отклонения от нормы могут проявляться следующими симптомами:
- Отек слизистой перешел на щеку и не спадает в течение нескольких дней.
- Наблюдается ухудшение самочувствия и увеличение температуры до 39-40 градусов.
- Ощущение дискомфорта не уменьшается. Боль принимает острый пульсирующий характер. Иногда начинает болеть голова, горло, ухо.
- В лунке отсутствует сгусток крови. Вместо него в ране появляется серое вещество, похожее на гной. Присутствует гнилостный запах изо рта. В месте локализации патологии цвет слизистой меняется на красный.
- После того как зуб вырвали, кровотечение не останавливается несколько дней, несмотря на все предпринятые меры. Эта аномалия может говорить о нарушении свертываемости или повышенном кровяном давлении.
Таким образом, белая пленка может свидетельствовать о развитии патологического процесса, но человек без медицинского образования не сумеет отличить фибринозный слой от гноя. В связи с этим, при появлении тревожных признаков следует немедленно обратиться за медицинской помощью.
Белая десна на месте удаленного зуба может говорить о неполном извлечении осколков. Это осложнение возникает очень редко и происходит из-за недостаточной квалификации специалиста. Из-за высокой хрупкости зуба у врача не получается удалить моляр или резец полностью. Спустя несколько дней десна воспаляется, возникает нагноение.
Также образование белесой пленки происходит по причинам:
- Инфицирование раны. Пациент ощущает острую пульсирующую боль, в лунке появляется гной, десна отекает.
- Сухая лунка. При патологии кровяной сгусток не формируется вообще из-за паралича сосудов или выпадает. В ране образуется серо-белая или коричневатая пленка.
- Альвеолит (см. также: как лечить возникший после удаления зуба альвеолит?). Чаще всего заболевание развивается вследствие образования сухой лунки. Пациент вовремя не обращается к врачу, в рану попадает пища, размножаются бактерии, что приводит к появлению гнойного налета.
При любом факторе, который беспокоит пациента после экстракции зуба, нужно обратиться к врачу. Серый, зеленоватый, желтый оттенок налета не являются нормой. Специалист осмотрит рану, при необходимости уберет осколки, проведет процедуру удаления гноя и назначит лечение.
Лечение возможного осложнения
Если зуб удалили, а на десне появилось белое пятно, происхождение которого вызывает сомнения, нужно обратиться за медицинской помощью. Воспаление требует немедленной терапии, иначе могут возникнуть серьезные осложнения. Медикаментозное лечение направлено на антисептическую обработку рта, иногда специалист назначает антибиотики.
Хорошее действие оказывает смесь раствора марганцовки и перекиси водорода. Компоненты, вступая в реакцию, образуют густую пену, которая вымывает инфицированные ткани, а выделяемый в ходе смешения веществ кислород способствует регенерации. Для борьбы с бактериями применяют крем или пасту Метрогил-дента или аэрозоль Гексорал.
При наличии остатков зуба, гноя, отмершей ткани врач очищает лунку и промывает ее антибактериальным раствором. При этом формируется новый сгусток крови в ране, десна заново проходит все этапы восстановления. Специалист назначает ванночки и примочки, которые можно делать дома.
При острой боли используются средства с лидокаином. Препараты на основе ибупрофена или парацетамола оказывают активное противовоспалительное действие, также они помогают купировать боль и снимают высокую температуру.
Хорошо помогают в борьбе с осложнениями и народные средства. Отличными антисептиками являются содовый раствор, настойки шалфея, календулы и аира. Масла шиповника или облепихи обеспечивают быструю регенерацию тканей. С той же целью можно использовать аппликации с прополисом и медом.
Для предотвращения инфицирования и образования гнойного налета рекомендуется регулярная обработка полости рта антибактериальными средствами и тщательная гигиена. Чтобы сохранить в лунке кровяной сгусток, желательно в первый день после экстракции единицы отказаться от чистки зубов. Для дезинфицирования ротовой полости можно сделать ванночку с физраствором (рекомендуем прочитать: как и с чем можно делать ротовые ванночки после удаления зуба?).
Источник: azbukazubov.com
Белый налет в лунке после удаления зуба: фото, причины и лечение
Когда пациенту удаляют болящий зуб, он чувствует облегчение. Через несколько дней после операции ранка заживает, и все неприятности остаются позади. Но в период заживления травмированной десны следует особо внимательно наблюдать за ее состоянием. И если в лунке, которая образовалась после того, как человеку удалили зуб, появилось что-то белое, следует незамедлительно обратиться к стоматологу и выяснить причину такого явления.

Естественные причины появления белого налета на ране, образовавшейся после удаления зуба
После удаления зуба в ротовой полости остается открытая рана, через которую, не будь у человека иммунитета, проникали бы любые болезнетворные микроорганизмы. Но такие защитные реакции организма существуют, и они запускаются сразу после изъятия корня из лунки.

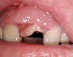
Фото белого налета в лунке после удаления зуба
В крови человека содержатся вещества, которые при нарушении стенок сосудов образуют тромб из фибрина, препятствующий открытию кровотечения. В ротовой полости этому процессу способствуют и особые компоненты слюны. Часть фибрина оседает на поверхности раны. У некоторых людей этот слой практически не заметен, у других образуется видимый фибринозный налет белого цвета, как на месте вырванного зуба на фото справа.
Если регенерация тканей проходит без осложнений, фиброзный налет со временем исчезает. Образовавшаяся внутри лунки пустота заполняется эпителием и соединительной тканью, после чего на этом месте образуется костная ткань. Процесс заживления костной ткани после удаления зуба показан на фото:

Через несколько суток после экстракции десна около лунки становится более бледной. Это означает, что воспалительный процесс, который всегда развивается после операции как естественная защитная реакция организма, стихает. Прилив крови к ране уменьшается, и цвет слизистой оболочки десны становится прежним.
Когда белый налет на месте удаленного зуба опасен
Белый налет на месте вырванного зуба не всегда возникает как естественное явление. Иногда такой признак свидетельствует о развивающемся осложнении из-за ошибок стоматолога во время вырывания зуба или неправильного поведения пациента в послеоперационный период:
- Белые пятна возле лунки, сопровождающиеся покраснением и отечностью слизистой оболочки десны, свидетельствуют об инфекционном воспалении и нагноении, то есть о развитии альвеолита. Лунка воспаляется при недостаточной обработке антисептиками во время операции, после ранения или преждевременного выпадения сгустка крови. Если сформируется острый край лунки, он будет раздражать поверхность раны и открывать микробам путь внутрь твердых тканей челюсти. Особенно часто альвеолит возникает после удаления зубов мудрости, что связано с повышенной травматичностью операции.
Если зуб раскрошился при захвате щипцами, внутри лунки могут оставаться осколки корня, как на фото справа. Они препятствуют заживлению десны, травмируют окружающие мягкие ткани и могут спровоцировать нагноение. Наиболее часто осколки остаются в лунке после удаления зубов мудрости, что связано с их неровными корнями.- При неаккуратном пережевывании пищи после удаления зуба частицы еды могут попасть в лунку и застрять в ней. Через несколько часов они начнут гнить и станут очагом развития инфекции.
Без соответствующего лечения воспаление лунки может не только привести к распространению инфекции на близлежащие ткани и внутренние органы, но и к развитию новообразований.
Тревожные симптомы
При нормальном течении периода заживления ранки, образовавшейся после удаления зуба, неприятные послеоперационные ощущения проходят довольно быстро. Кровотечение останавливается примерно через 3 часа (оно может быть более длительным, если удаляют зуб мудрости), боль и отечность спадают спустя 2–4 суток, кровяной сгусток и фиброзный налет рассасываются через несколько дней после экстракции.

Фото: гнойное воспаление лунки
При развитии осложнений могут проявиться такие симптомы:
- Боль усиливается, приобретает «стреляющий» характер, распространяется на челюсть, ухо или висок.
- Отечность увеличивается, лимфатические узлы в области лица опухают и становятся твердыми.
- Кровь не останавливается через 3 часа, либо кровотечение возобновляется спустя некоторое время после операции.
- Возникает лихорадочное состояние.
- Теряется чувствительность кожи рядом с участком челюсти, на котором вырвали зуб.
- Становится трудно двигать челюстью.
- Из лунки вытекает жидкость белого или желтоватого цвета.
- Рану покрывает толстый слой налета, от которого исходит неприятный запах.
Нужно ли убирать белый налет, образовавшийся на десне после удаления зуба
Чтобы определиться, необходимо ли предпринимать какие-то лечебные меры, нужно выяснить причину появления белого налета на послеоперационной ранке, повторно посетив стоматолога. Если врач не заметит никаких признаков патологии, значит, лунка покрыта естественным фибриновым налетом. Удалять его нельзя, поскольку он является защитным барьером для патогенных микроорганизмов.
Если человек попытается убрать с лунки фиброзный налет, не проконсультировавшись со стоматологом, он спровоцирует ее инфицирование с дальнейшими неприятными последствиями.
Если белый налет, образовавшийся после удаления зуба, является признаком воспалительного процесса, необходимо как можно быстрее приступить к его лечению:
- При обнаружении осколков корня или застрявших кусочков пищи проводится их извлечение и тщательная обработка ранки антисептиками. Стоматолог может назначить пациенту курс антибиотиков, чтобы воспаление не затронуло более обширную часть десны.
- При развитии инфекции врач закладывает в лунку тампон с лекарством. Могут назначаться препараты для приема внутрь, а также полоскания антисептиками.
- Если из-за длительного воспаления образовалась опухоль, ее удаляют хирургическим путем.
Чего нельзя делать
Если после удаления зуба в лунке образовался белый налет, не стоит приступать к самолечению до посещения стоматологии. Попытки оказать себе первую помощь в домашних условиях могут повлечь за собой более серьезные осложнения:
| Действия пациента | Последствия |
|---|---|
| Полоскание полости рта | Смывание защитного фибринового слоя, выпадение кровяного сгустка с последующим развитием альвеолита |
| Самостоятельные попытки удалить сгусток, остатки зуба, пищу или гной | Занесение инфекции, которая может распространиться не только на мягкие, но и на твердые костные ткани челюсти |
| Чистка зубной щеткой в области вырванного зуба | Повреждение фибринового слоя, кровотечение, заражение послеоперационной раны инфекцией |
| Прикладывание теплого компресса | Усиление кровообращения приводит к кровотечению, а при наличии нагноения ускоряется образование гноя, повышается вероятность инфицирования внутренних органов |
| Прием лекарств | Реакция индивидуальной непереносимости, нежелательные побочные эффекты |
| Курение в первые несколько часов после операции | Ожог травмированной слизистой оболочки десны, повреждение фибринозного слоя и развитие воспалительного процесса |
Если у пациента есть возможность связаться со своим стоматологом, он может спросить, какие обезболивающие и жаропонижающие препараты можно принимать до посещения стоматологии.
В большинстве случаев не стоит пугаться белого фибринозного налета в той части десны, в которой пришлось вырывать зубки. Такое явление – естественная реакция, с помощью которой организм обезопасил себя от инфекций. Но если лунка покрывается толстым налетом с неприятным запахом, отекает и краснеет, а состояние пациента ухудшается, нужно вновь посетить стоматолога для лечения возникших осложнений.
Источник: stomaget.ru
В лунке удаленного зуба белый пузырек
Три дня сильно болел зуб. Вчера пошла на приём к стоматологу, он мне сказал, что сильно воспалена пульпа, удалили зуб и вытащили эту пульпу. Сегодня научались сильные боли, опухла десна. На месте удаленного зуба образовался небольшой белый пузырёк. Болят все зубы вокруг, причём боль осталась почти такая же, как до посещения стоматолога. Без обезболивающего теперь не могу обойтись.
Что это может быть?
Сразу после удаления боль не пройдёт. Приём обезболивающих препаратов следует продолжать не менее 3-х дней.
Если боли сохраняются и отёчность нарастает, следует обратиться к Вашему лечащему врачу и решить вопрос о назначении антибиотиков.
Комментарии и отзывы 30
Сегодня второй день как мне удалили зуб. Образовался на десне небольшой гнойничок. Боли нет, десну не дергает, как обычно при нарыве. К врачу можно попасть только завтра. Что делать сегодня? Нужно ли полоскать?
Ответить
К сожалению, без визуального клинического осмотра определить наличие гноя невозможно. Рекомендуем Вам самостоятельно ничего не делать. Возможно, белесый налет является фибрином.
Ответить
Врач стоматолог-хирург-имплантолог, К.М.Н. Стаж работы 15 лет.
Вчера выдернули передний верхний зуб, а сегодня из него висит что-то белое. Что это может быть?
Ответить
Проконсультируйтесь очно со своим лечащим стоматологом-хирургом. Необходим осмотр, возможно доктор оставил в лунке удаленного зуба марлевый тампон или это остатки корня, оголенная костная ткань.
Ответить
Врач стоматолог-хирург-имплантолог, К.М.Н. Стаж работы 15 лет.
После удаления зуба (из-за периодонтита) прошло 8 дней, на месте кровяного сгустка появилась белая корочка. Это нормально?
Ответить
Необходим осмотр лунки удаленного зуба. Скорее всего, образовался фибринозный налет, который говорит о благополучном процессе заживления. Если нет боли, повышения температуры, отека мягких тканей, тогда волноваться не стоит.
Ответить
Врач стоматолог-хирург-имплантолог, К.М.Н. Стаж работы 15 лет.
Сегодня удалили зуб. Беспокоит рана, ноет. В ранке что-то белое помимо крови. Что это может быть и нормально ли это?
Ответить
Болезненность после удаления может сохраняться 3-7 дней. В зависимости от сложности операции. Определить по фото белесое образование невозможно. Не исключено, что в лунку введен биоматериал или гемостатическая губка. Для исключения осложнений рекомендуется очный осмотр стоматолога-хирурга.
Ответить
Врач стоматолог-хирург-имплантолог, К.М.Н. Стаж работы 15 лет.
В четверг удалили зуб. В лунке появился белый налет ростом с зуб. Это норма?
Ответить
Вам необходимо обратиться к стоматологу-хирургу для санации лунки. Возможно, это отломок стенки лунки. Необходимо определить клинически.
Ответить
Врач стоматолог-хирург-имплантолог, К.М.Н. Стаж работы 15 лет.
10 дней назад удалили зуб (нижнюю восьмерку). Осталась маленькая дырочка в десне и в ней белые кружочки, с виду как будто остатки пищи. Выполоскать это не получается. Что это может быть, и что с этим делать?
Ответить
Без осмотра судить сложно, Вам необходимо обратиться к стоматологу-хирургу. Это могут быть остатки пищи, ткани, покрытые фибрином, острые края лунки и т.д. Необходимо осмотр врача.
Ответить
Врач стоматолог-хирург-имплантолог, К.М.Н. Стаж работы 15 лет.
В середине июня удалила нижнюю 8. Лунка зажила хорошо. Но вовремя заживления возле соседней 7 вылез осколок кости. Но он по ощущениям был присоединен к кости. Недавно та часть, что была сверху десны отломилась. Теперь возле зуба немного покраснение и белая пузырчатая жидкость. Так должно быть? Не болит, температуры нет. После того, как отломился тот кусочек, иногда потягивало то ли мышцу, то ли челюсть. Но при этом боли не было. Просто дискомфорт.
Ответить
Нет, так быть не должно. Вероятно, это осколок стенки альвеолы. Его необходимо удалить и провести антисептическую обработку. Рекомендуем обратиться к стоматологу-хирургу.
Ответить
Врач стоматолог-хирург-имплантолог, К.М.Н. Стаж работы 15 лет.
02.08 удалил зуб мудрости. Все было хорошо, на 3 день лунка приняда серо-темно белый цвет (чуть чуть болела) сейчас 07.08 лунка желтоватого отенка с каким то непонятным веществом, боюсь чтобы это не был гной. Из любопытства я слегка там ткнул ватной палочкой (продезенфицированной) это вещество мягкое, однородное, но движеться по лунке как «желе» . Лунка болит иногда, но часто пульсирует, температуры нет, дёсна нормального цвета, ничего не опухло. Я очень переживаю, потому что поехал за границу и посетить стоматолога тут нет возможности. Поэтому, пожалуйста, объясните, что это может быть? Спасибо!
Ответить
Без клинического осмотра сложно судить о наличии или отсутствии гнойного процесса в лунке. Необходим очный осмотр, но отсутствие температуры и неприятного запаха – хороший знак. Но для исключения осложнений рекомендуется посетить стоматолога-хирурга.
Ответить
Врач стоматолог-хирург-имплантолог, К.М.Н. Стаж работы 15 лет.
Источник: topdent.ru
Что делать если после удаления зуба в лунке что-то белое?
Если после удаления зуба в лунке что-то белое, не стоит пугаться, так выглядит налет, сменяющий кровяной сгусток. Насторожиться следует, если цвет станет желтым или серым.
Когда вырвали зуб, у человека отмечается дискомфорт и болезненность, которая может распространяться на десну и всю челюсть. Для облегчения процесса заживления необходимо четко и правильно выполнять все рекомендации хирурга, выбирать которого нужно осознанно.
Обращайтесь к специалистам с опытом проведения подобных операций, ведь лунка имеет вид открытой раны, а особенности строения и расположения зуба мудрости иногда приводят к нескольким этапам удаления. Иногда даже накладывают швы на мягкие ткани.
Этапы заживления лунки после удаления зуба
- первый день с момента проведения удаления очень важен – в этот период должен образоваться кровяной сгусток. Он – необходимый элемент в процессе заживления, его не нужно трогать или удалять;
- на третьи сутки в ранке появляется тонкий эпителий, что дает нам подтверждение начала заживления;
- на смену эпителиальной ткани приходит соединительная, и в ранке образуются гранулемы. Это обычно отмечают на 3-4 сутки;
- на 7-8 сутки грануляции постепенно вытесняют и замещают кровяной сгусток, небольшая часть которого остается только в центральной позиции лунки. Эпителий активно покрывает ранку снаружи, а внутри идет процесс образования костной ткани;
- через 2-2,5 недели ранка полностью покрывается эпителиальной тканью. Полноценный сгусток полностью замещается грануляциями и начинается рост костной ткани;
- на 30 сутки количество костной ткани становится таким, что практически полностью заполняет лунку.
- через 50-70 дней на всей глубине лунки имеется костная ткань;
- по истечении 4 месяцев ткань лунки становится подобной к челюсти, а края ранки и альвеол приобретают меньший размер. Это составляет третью часть высоты корня зуба. Альвеолярный гребень становится тоньше.
В лунке что-то белое и другие симптомы послеоперационного периода
При проведении операции по удалению зуба повреждается слизистая оболочка, а кровоснабжающие сосуды и нервы получают разрывы. Нарушается целостность связок и мышечных волокон, а также мягких тканей, окружающих зону повреждения и удерживающих корни зуба в привычном положении.
Результатом такого вмешательства в зоне удаления возникает воспалительный процесс четкой локализации. Он необходим для безболезненного и эффективного заживления, поэтому возможны следующие симптомы:
- кровотечение, длящееся от получаса до 3 часов;
- боль в зоне вырванного зуба, распространяющаяся на соседние органы (зубы, челюсть, ухо, нос);
- отек в зоне операции и близлежащих тканей;
- яркий красный цвет в зоне удаленного зуба;
- незначительная гипертермия до 37-38 градусов и жар в месте удаления;
- снижение функций челюсти, дискомфорт при открытии рта и жевании.


Инструкция по уходу за зубом после удаления
После удаления зуба, как и после других хирургических вмешательств, требуется строгое соблюдение определенных правил, они направлены на ускорение процесса заживления ранки и на снижение риска заражения.
Эти процедуры временны и предполагают срок от 7 до 14 дней. В это время восстановятся структуры, поврежденные при операции. После заживления мягких тканей можно возвращаться к привычному образу жизни, который не влияет на разрастание костной ткани.
Основные моменты, заслуживающие внимания:
- тампон со специальным средством нужно прикусить и держать от 20 до 30 минут после экстракции;
- не трогать сгусток крови, образовавшийся в лунке, и не выполаскивать его;
- не трогать место удаления языком;
- 2 часа после удаления не стоит пить через соломинку и проводить другие манипуляции, создающие вакуум в ротовой полости, так может удалиться сгусток и появиться кровотечение;
- не проводите спортивные тренировки, не выполняйте тяжелую физическую работу в течение 2 дней после удаления;
- 2 часа не следует принимать горячий душ или ванну, принимать солнечные ванны или идти в парную;
- не согревайте область удаления;
- 2-3 часа после удаления откажитесь от еды, чтобы не травмировать свежую ранку;
- первые несколько дней после удаления старайтесь не употреблять в пищу холодных и горячих продуктов и напитков;
- откажитесь от курения и алкоголя на период от 3 до 7 дней после удаления.
Когда действительно нужно обратиться к врачу?
Если вы заметили невысокую температуру, болезненность, отек, увеличение лимфатических узлов – это норма. Но в следующих ситуациях необходима помощь врача:
- продолжающееся кровотечение;
- неутихающий отек мягких тканей через 3-4 дня;
- сильная тянущая и стреляющая боль;
- значительная лихорадка до 39 градусов;
- распространение боли на голову, ухо, горло;
- наличие гноя в лунке.
Осложнения могут возникать из-за появления инфекции или недостаточного удаления обломков корня из ранки. Повторный осмотр лунки позволит выявить причину такого состояния и найти подходящее решение проблемы.
Квалифицированный стоматолог – это гарантия быстрого и безболезненного восстановления после удаления зуба.
Видео: что делать после удаления зуба?
Источник: infozuby.ru
Что делать если после удаления зуба в лунке что-то белое?
Если после удаления зуба в лунке что-то белое, не стоит пугаться, так выглядит налет, сменяющий кровяной сгусток. Насторожиться следует, если цвет станет желтым или серым.
Когда вырвали зуб, у человека отмечается дискомфорт и болезненность, которая может распространяться на десну и всю челюсть. Для облегчения процесса заживления необходимо четко и правильно выполнять все рекомендации хирурга, выбирать которого нужно осознанно.
Обращайтесь к специалистам с опытом проведения подобных операций, ведь лунка имеет вид открытой раны, а особенности строения и расположения зуба мудрости иногда приводят к нескольким этапам удаления. Иногда даже накладывают швы на мягкие ткани.
Этапы заживления лунки после удаления зуба
- первый день с момента проведения удаления очень важен – в этот период должен образоваться кровяной сгусток. Он – необходимый элемент в процессе заживления, его не нужно трогать или удалять;
- на третьи сутки в ранке появляется тонкий эпителий, что дает нам подтверждение начала заживления;
- на смену эпителиальной ткани приходит соединительная, и в ранке образуются гранулемы. Это обычно отмечают на 3-4 сутки;
- на 7-8 сутки грануляции постепенно вытесняют и замещают кровяной сгусток, небольшая часть которого остается только в центральной позиции лунки. Эпителий активно покрывает ранку снаружи, а внутри идет процесс образования костной ткани;
- через 2-2,5 недели ранка полностью покрывается эпителиальной тканью. Полноценный сгусток полностью замещается грануляциями и начинается рост костной ткани;
- на 30 сутки количество костной ткани становится таким, что практически полностью заполняет лунку.
- через 50-70 дней на всей глубине лунки имеется костная ткань;
- по истечении 4 месяцев ткань лунки становится подобной к челюсти, а края ранки и альвеол приобретают меньший размер. Это составляет третью часть высоты корня зуба. Альвеолярный гребень становится тоньше.
В лунке что-то белое и другие симптомы послеоперационного периода
При проведении операции по удалению зуба повреждается слизистая оболочка, а кровоснабжающие сосуды и нервы получают разрывы. Нарушается целостность связок и мышечных волокон, а также мягких тканей, окружающих зону повреждения и удерживающих корни зуба в привычном положении.
Результатом такого вмешательства в зоне удаления возникает воспалительный процесс четкой локализации. Он необходим для безболезненного и эффективного заживления, поэтому возможны следующие симптомы:
- кровотечение, длящееся от получаса до 3 часов;
- боль в зоне вырванного зуба, распространяющаяся на соседние органы (зубы, челюсть, ухо, нос);
- отек в зоне операции и близлежащих тканей;
- яркий красный цвет в зоне удаленного зуба;
- незначительная гипертермия до 37-38 градусов и жар в месте удаления;
- снижение функций челюсти, дискомфорт при открытии рта и жевании.


Инструкция по уходу за зубом после удаления
После удаления зуба, как и после других хирургических вмешательств, требуется строгое соблюдение определенных правил, они направлены на ускорение процесса заживления ранки и на снижение риска заражения.
Эти процедуры временны и предполагают срок от 7 до 14 дней. В это время восстановятся структуры, поврежденные при операции. После заживления мягких тканей можно возвращаться к привычному образу жизни, который не влияет на разрастание костной ткани.
Основные моменты, заслуживающие внимания:
- тампон со специальным средством нужно прикусить и держать от 20 до 30 минут после экстракции;
- не трогать сгусток крови, образовавшийся в лунке, и не выполаскивать его;
- не трогать место удаления языком;
- 2 часа после удаления не стоит пить через соломинку и проводить другие манипуляции, создающие вакуум в ротовой полости, так может удалиться сгусток и появиться кровотечение;
- не проводите спортивные тренировки, не выполняйте тяжелую физическую работу в течение 2 дней после удаления;
- 2 часа не следует принимать горячий душ или ванну, принимать солнечные ванны или идти в парную;
- не согревайте область удаления;
- 2-3 часа после удаления откажитесь от еды, чтобы не травмировать свежую ранку;
- первые несколько дней после удаления старайтесь не употреблять в пищу холодных и горячих продуктов и напитков;
- откажитесь от курения и алкоголя на период от 3 до 7 дней после удаления.
Когда действительно нужно обратиться к врачу?
Если вы заметили невысокую температуру, болезненность, отек, увеличение лимфатических узлов – это норма. Но в следующих ситуациях необходима помощь врача:
- продолжающееся кровотечение;
- неутихающий отек мягких тканей через 3-4 дня;
- сильная тянущая и стреляющая боль;
- значительная лихорадка до 39 градусов;
- распространение боли на голову, ухо, горло;
- наличие гноя в лунке.
Осложнения могут возникать из-за появления инфекции или недостаточного удаления обломков корня из ранки. Повторный осмотр лунки позволит выявить причину такого состояния и найти подходящее решение проблемы.
Квалифицированный стоматолог – это гарантия быстрого и безболезненного восстановления после удаления зуба.
Видео: что делать после удаления зуба?
Источник: infozuby.ru

Если зуб раскрошился при захвате щипцами, внутри лунки могут оставаться осколки корня, как на фото справа. Они препятствуют заживлению десны, травмируют окружающие мягкие ткани и могут спровоцировать нагноение. Наиболее часто осколки остаются в лунке после удаления зубов мудрости, что связано с их неровными корнями.