Можно ли отбеливать зубы с брекетами
Как и чем отбелить зубы в брекетах?
О каждом человеке, который носит брекеты, можно сказать, что он заботится не только о здоровье, но и о внешнем виде своих зубов. Современным эталоном улыбки являются не только ровные, но и идеально белые зубы. В процессе ношения брекетов многие сталкиваются с потемнением эмали. Не удивительно, что возникает вопрос, как отбелить зубы в брекетах. Эта задача довольно сложная, даже когда отбеливанию ничего не мешает.
Возможно ли отбелить зубы в брекетах?
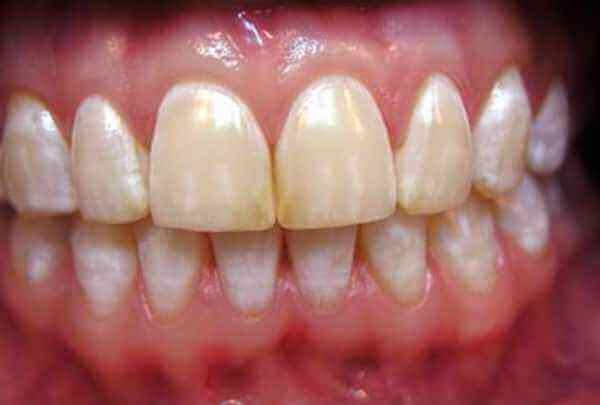
При ношении брекетов большая часть эмали находится под замками и дугой. Различные пищевые красители, вред от курения и регулярного употребления кофе ее не касаются, но ведь остальной зуб остается без защиты. В результате этого у многих при ношении брекетов заметно темнеет эмаль и появляется так называемый эффект купальника. Под этим термином подразумевается явление, когда после снятия брекетов, те части зуба, которые в течение нескольких месяцев были закрыты, намного светлее остальных. Иногда даже остаются четкие границы, которые точно говорят всем окружающим о том, что совсем недавно этот человек снял брекеты.
Говоря об отбеливании зубов в процессе ношения брекетов, многие затрагивают именно этот самый эффект купальника, но только уже в обратную сторону. Если вы отбелите зубы во время ортодонтического лечения, не исключено, что после снятия скобок вы обнаружите темные пятна. После такого выровнять цвет зубов будет крайне сложно. Хотя, скорее всего, вам и не удастся воспользоваться какими-либо профессиональными средствами для отбеливания зубов, особенно теми, которые проводятся в кабинетных условиях. Стоматолог вас просто отговорит от такой услуги и не только из-за того, что позже отбеливание будет смотреться совсем не эстетично. На это есть и еще две, более веские причины. Во-первых, отбеливающие активные компоненты могут повредить сами брекеты. Особенно этому пагубному воздействию подвержены изделия, основа которых сделана из пластика или металла.
Лигатурные брекеты в последнее время почти не используются, но все же стоит о них упомянуть. Отбеливание при ношении такого вида брекетов будет стоить довольно дорого, ведь резинки, которые фиксируют скобки, легко испортить.
Во-вторых, профессиональное отбеливание негативно скажется на качестве эмали. При ношении брекетов, защитный слой наших зубов и так терпит большие нагрузки, она становится более чувствительной и если можно так сказать ранимой. Лишнее воздействие различных химических компонентов на эмаль явно не принесет ей никакой пользы.

Все же речь здесь идет именно о профессиональном отбеливании, когда используются мощные вещества. Они вступают в химическую реакцию со слюной и выделяют активный кислород. Он проникает в глубокие слои эмали и отбеливание ее изнутри, осветляя естественный пигмент. Подобный тип отбеливания далеко не единственный.
Под термином отбеливания может подразумеваться и тщательная читка эмали с целью удаления скопившегося налета. Он часто становится причиной потемнения зубов. При нерегулярной или недостаточно тщательной чистке зубов на эмали скапливается невидимый налет. В дальнейшем он впитывает в себя красители от пищи, и постепенно становится все более темным. Учитывая, что при ортодонтическом лечение не всем удается тщательно очистить эмаль, такое явление очень распространено.
Удаление или хотя бы осветление этого самого налета тоже можно считать отбеливанием.
Теперь подведем итог. Можете даже не задумываться об отбеливании именно эмали, это обернется массой проблем, а вот с налетом на зубах еще можно побороться.
Как отбелить зубы в брекетах?
Как уже было сказано, в стоматологии вам, скорее всего, откажут в выбранной услуге или просто объяснят все ее недостатки в вашем случае. Получается, что тем, кто носит брекеты, недоступны даже профессиональные чистки зубов, а они считаются самыми эффективными способами удаления налета. Дело в том, что такие процедуры обычно проводятся посредством обычной воды или суспензии с абразивными частицами, которая подается на эмаль при помощи специального оборудования под большим давлением. Именно за счет этого и очищаются зубы. Такая чистка может повредить сами брекеты, поэтому и она не доступна.

Остается только одно, решать, как отбелить зубы в брекетах в домашних условиях. В таком случае вся ответственность за возможный вред для зубов и самих брекетов лежит только на вас.
Самый доступный домашний способ – это различные мягкие отбеливающие зубные пасты. К мягким средствам можно отнести любые, которые содержат минимум активных веществ. Кроме того, в их составе совершенно не должно быть любых абразивов. Они могут повредить как эмаль, так и саму ортодонтическую конструкцию.
Среди наиболее подходящих паст можно выделись различные отбеливающие средства от Lacalut или Президент, а также гель «Деликатное отбеливание» от Рокс. Если прочитать отзывы на все эти средства, то можно понять, что помогают они далеко не всем. Если от них и есть результат, то не такой существенный, как от профессиональных методик. В обычных ситуациях, это является минусом, но в нашем случае играет только на руку. Минимально заметный результат говорит о том, что в составе паст содержится допустимая для отбеливания зубов в брекетах концентрация активных веществ. Для легкого отбеливания достаточно в течение нескольких недель чистить зубы привычным способом, но только при помощи ранее перечисленных паст. Больше отмеченного срока пользоваться этими средствами противопоказано даже в обычных случаях. Все они негативно влияют на эмаль, даже если в их составе только органические компоненты и есть масса веществ, способствующих укреплению и оздоровлению эмали. В любом случае после такого отбеливания нашим зубам нужно время для того, чтобы восстановиться. В это время рекомендуется пользовать пастами, насыщенными минералами, для восстановления эмали.
Иногда подобных паст может быть недостаточно. Приходится прибегать к более серьезным способам. Для этого подойдут мягкие зубные порошки, сода, измельченный активированный уголь. Последний вариант в нашем случае даже более предпочтительный. Уголь по большей части действует не за счет абразива, а в качестве абсорбента. Он притягивает к себе частички налета и мягко очищает эмаль. Только перед тем, как отбелить зубы с брекетами, уже стоит проконсультироваться с вашим стоматологом. Только после его разрешения вы можете пользоваться абразивными средствами, но не чаще чем раз в неделю.
Как предотвратить потемнение зубов при ношении брекетов?

При ортодонтическом лечении нужно более тщательно соблюдать правила гигиены. Только так можно обезопасить себя от появления эмали. Кроме того, стоит отказаться и от привычек, вредных для белизны зубов. Сюда относится курение, частое распитие кофе и газированных напитков с большим содержанием красителей. Все это может привести не только к потемнению эмали, но и сильно подпортить внешний вид самих скобок. Особенно этому привержены лигатурные конструкции и те, чьи замки выполнены из пластика.
Избежать проблемы всегда легче, чем избавляться от ее последствий. Так что четко следуйте всем инструкциям вашего стоматолога, и проблема потемнения зубов при ношении брекетов вас не коснется.
Источник: dantist.tv
Отбеливание зубов и брекеты | Статьи | Стоматология Ас-Стом в Санкт-Петербурге
Задайте
вопрос
врачу

Красивая улыбка состоит из двух компонентов: ровные зубы и белые зубы. Конечно, в мечтах хочется получить обе составляющие сразу и немедленно, но при реальном лечении всегда приходится выбирать, какую процедуру сделать первой.
Расскажем немного об этом.
Брекеты — до отбеливания зубов
Если вы раздумываете над этим выбором, ответим однозначно: сперва стоит выровнять зубной ряд, и только затем — отбелить эмаль. И вот почему:
Любое отбеливание за исключением air flow — и химическое, и ZOOM-отбеливание — воздействует на структуру эмали и слегка ослабляет ее. А ослаблять эмаль до ортодонтического лечения категорически не рекомендуется.
Отбеливание лучше проводить после брекетов потому, что побочным эффектом ношения брекет-системы могут стать пятна на эмали. Все оттого, что идеальная гигиена полости рта в период ношения брекетов затруднительна, и не всегда удается как следует вычистить налет и остатки пищи между скобочками и замками брекет-системы. Подробнее о том, как проводить гигиену в это время, мы писали здесь.
Важно: именно поэтому и до, и во время, и после снятия брекетов для вас будет являться обязательной процедура профессиональной чистки зубов. Она не только удалит лишние бактериальные загрязнения, но и снизит необходимость в интенсивном отбеливании после избавления от брекетов.
В некоторых случаях щадящая чистка-отбеливание air flow может и вовсе устранить последствия ношения брекетов без следа.
Порядок проведения отбеливания и ортодонтического лечения

Мы рекомендуем придерживаться следующего приблизительного графика проведения ортодонтического лечения:
До брекетов следует обеспечить полную санацию полости рта — вылечить кариес / пульпит / гингивит, полностью избавить ротовую полость от возможных заболеваний, воспалений, осложнений в дальнейшем.
Далее носится брекет-система — столько времени, сколько установит ваш врач-ортодонт для получения эффекта.
В этот период раз в полгода следует проводить профессиональную чистку air-flow. Как мы уже писали выше, это самый эффективный инструмент поддержания гигиены полости рта.
После снятия брекетов профессиональную чистку зубов нужно провести еще раз — для удаления остатков пищи и налета, которые скопились во время ношения брекетов и для устранения тех самых пятен на эмали.
К полноценному отбеливанию зубов, если оно все же понадобится после чистки, лучше всего прибегнуть через 4-6 месяцев после снятия брекетов. Химические вещества, используемые при стоматологическом отбеливании, являются довольно агрессивными для эмали, и необходимо дать зубам время восстановить защитный слой.
Важно: после проведения профессионального отбеливания нужно придерживаться «белой диеты». Подробнее о том, что входит в эту диету, и что можно и нельзя есть — мы писали здесь.
Подчеркиваем, что график процедур для каждого человека будет индивидуальным. Как долго носить брекеты, как часто потребуется профилактическая чистка зубов, как скоро можно будет провести отбеливание — все это определит ваш врач-ортодонт после детального осмотра.
Записаться на прием и получить консультацию можно по телефону 597-05-05 или через форму заявки на сайте.
Кстати! По утрам на все услуги стоматологической клиники «Ас-Стом» действуют скидки. К примеру, та самая чистка air flow будет доступна со скидкой 50%!
Источник: www.asstom.ru
Что сначала необходимо сделать: отбелить зубы или выровнять их с помощью брекетов?

Что сначала необходимо сделать: отбелить зубы или выровнять их с помощью брекетов?
Лучше всего сначала осуществить исправление прикуса при помощи установки брекет – системы, а затем отбелить зубы. Такой порядок действий намного выгоднее в финансовом плане, так как после снятия брекетов на зубах снова может появиться неприятный налет и вам вновь придется делать дорогостоящее отбеливание.
Как известно, красивая и здоровая улыбка – это ровные и белоснежные зубы. Конечно же, любой человек хочет получить все это сразу, но для достижения наилучшего результата спешить не рекомендуется. Далее разберемся в этом вопросе более подробно.
Первый этап — выравнивание
Если же вы задумались о том, какую процедуру сделать сначала, то врачи тут выражают абсолютно единогласное мнение. По мнению профессионалов намного рациональнее будет сначала установить ортодонтическую конструкцию и только после ее снятия проводить процедуру отбеливания эмали. Объясняется это следующим образом:
- Любой метод профессионального отбеливания, кроме чистки Air Flow, оказывает воздействие на эмаль и при этом ослабляет ее, что крайне нежелательно перед установкой брекетов. И химическое отбеливание и Zoom – метод одинаково сильно травмируют поверхность зубов.
- Осветлять зубы лучше всего после снятия ортодонтической конструкции из-за того, что одним из побочных эффектов от длительного ношения брекетов является появление неприятных темных пятен на эмали. Объясняется это тем, что чистить зубы в это время довольно затруднительно, поэтому под конструкцией может скапливаться налет и мелкие частички пищи.
Air Flow
Важно отметить, что перед установкой брекетов, во время их ношения и после их снятия стоматолог обязательно назначает проведение качественной чистки полости рта. Эта процедура поможет не только удалить избыток налета и загрязнений, но также облегчит последующее отбеливание или вовсе сделает его ненужным.
В некоторых ситуациях после снятия систем может быть достаточно только обычной чистки методом Эир Флоу, это во многом зависит от индивидуальных особенностей полости рта каждого отдельного пациента.
Алгоритм отбеливания и лечения
Многие стоматологи рекомендуют придерживаться такой схемы лечения и проведения отбеливания:
- Перед установкой ортодонтических конструкций следует пролечить кариес, гингивит, а также устранить любые воспалительные процессы в тканях пародонта.
- После этого врач закрепляет брекеты и устанавливает необходимый период их ношения в зависимости от степени кривизны ряда.
- Во время носки системы пациенту необходимо регулярно проходить профилактический осмотр у своего лечащего врача и делать чистку. Этот метод является лучшим для предотвращения появления пятен и следов от металлических конструкций.
- Также важно после снятия устройства еще раз сделать чистку, чтобы удалить скопившийся налет на месте крепления замков и дуги.
- Если после всех проведенных манипуляций пациент все равно остался не доволен оттенком своих зубов, можно сделать полноценное отбеливание. Но для достижения хорошего результата и минимизации негативного воздействия на эмаль лучше всего отложить эту процедуру на 3-5 месяцев. Дело в том, что используемые в работе химические составы являются очень агрессивными, поэтому рекомендуется дать своим зубам время восстановиться и окрепнуть.
Белая диета
Каждый пациент должен отдавать себе отчет в том, что осветленная эмаль очень восприимчива к любым пищевым красителям, а также к табачному дыму. Именно поэтому так важно в первое время после отбеливания придерживаться строгой «белой диеты». Рекомендуется отказаться от красных овощей, не пить крепкий черный чай, вино и соки.
Следуя всем правилам и советам своего врача, вы добьетесь наиболее заметных результатов в самые короткие сроки.
Источник: dental-clinic.expert
Можно ли делать отбеливание зубов с брекетами?
Для выравнивания зубного ряда многие люди носят брекет-системы. По истечению некоторого времени их использования часто наблюдается потемнение эмали, пятна вокруг креплений на зубах. Можно ли делать отбеливание зубов с брекетами? Этот вопрос интересует многих пациентов стоматологии.

Причины возникновения необходимости отбеливания
Не каждый клиент, пользующийся брекетами, фиксирует потерю белизны зубов, блеска эмали. Изменение тона зубных единиц зависит от нескольких факторов:
- невыполнения необходимых гигиенических норм полости рта, либо некачественного осуществления процедур; наличия у пациента вредной привычки табакокурения в период использования ортопедического устройства; неправильного рациона питания; чрезмерного употребления напитков и продуктов, обладающих окрашивающими свойствами, например таких, как кофе, вино, свекла, шоколад.
Решение проблемы
Высококвалифицированные специалисты стоматологии Имплант эксперт не рекомендуют пациентам проводить отбеливание именно во время ношения брекет-систем. Процедуру лучше выполнить по истечении не менее 30 дней после снятия приспособления.
Отложить профессиональное отбеливание в период выравнивания зубных элементов нужно в связи с несколькими существенными факторами:
- Манипуляции при осветлении зубных единиц основываются на применении химических специальных соединений. Они оказывают агрессивное влияние на зубную эмаль, которая зачастую ослаблена воздействием корректирующего аппарата. Ситуация может привести к повышению чувствительности зубов на тепло, холод. Не исключается риск подверженности зубных единиц кариозным заболеваниям.
- После долгого периода использования брекетов жесткая структура зубной эмали должна восстановиться. Доктор должен подобрать подходящий вариант специализированной пасты для ухода за зубами, которая поможет быстрее укрепить слой эмали.
- Установленные брекеты закрывают часть зуба замками, дугой. Если провести мероприятие по осветлению эмали с используемой ортодонтической системой, то станет светлее только открытая зона зубных единиц. Тон зуба под брекетами останется прежним. При снятии брекет-системы зубной ряд приобретает внешний вид, называемый «эффектом купальника». Исправить после этого цвет эмали на нужный – однотонный, будет намного тяжелее.
- Компоненты отбеливателя способны повредить конструкцию. Они негативно влияют на основу аппарата. Отрицательное воздействие оказывается на материал, из которого изготовлена конструкция, к примеру, на металл, пластик. В лигатурных брекетах отбеливающее средство может легко повредить резинки. Испорченные конструкции понадобится заменять новыми брекетами. Это приведет к немалым излишним финансовым затратам клиента.

На этапе терапии зубного ряда брекетами принять решение на проведения отбеливания эмали зубов можно только в крайне запущенной ситуации. Для осуществления такой процедуры нужно снимать брекет-систему. Это потребует дополнительных затрат больного.
Чтобы не навредить своим зубам, отбеливание следует доверить опытным специалистам клиники Имплант эксперт. Но осуществить его нужно только после освобождения зубного ряда от конструкции.
Подготовка к отбеливанию в клинике
После освобождения полости рта от всех элементов ортодонтического устройства стоматолог начинает подготовку к профессиональной чистке зубов. Она состоит из следующих шагов:
- Устранение с зубов остатков клеящего вещества. Убираются с поверхности все шероховатости.
- Освобождение единиц от налета, зубного камня. После скопления остатков пищи при некачественной гигиене в период ношения аппарата, часто возникает налет, камни. Качественное осветление зубных элементов требует полного избавления от зубных отложений.
Применяемые методики
Клиника Имплант эксперт предлагает своим посетителям следующие методы отбеливания зубных единиц:
Источник: implant-expert.ru
Отбеливание зубов после снятия брекетов

Рассмотрим последовательность отбеливания зубов после снятия брекетов и способы, которые для этого используются в клинике и в домашних условиях. Лечение брекетами является способом сохранить живые органы без их удаления и замены на протезы. В большинстве клинических случаев с помощью систем удается выправить кривые зубы и поставить их в нужное положение. Но, процесс этот довольно продолжительный. В зависимости от тяжести патологии прикуса, он может длиться от 6-8 месяцев до 2-х лет. Все это время у больного и стоматолога отсутствует возможность качественно очищать эмаль от налета и камня. Точнее, нет возможности обрабатывать ту сторону, на которую установлена конструкция. Многие пациенты пытаются самостоятельно разобраться, как отбелить зубы в брекетах. В процессе коррекции делать это не рекомендуется, так как, можно повредить клей или сами приклеенные накладки.
После снятия конструкций зубной ряд ровный, но его внешний вид оставляет желать лучшего. Эмаль, в большинстве случаев становится желтой и покрывается пятнами. Отбеливание после снятия брекетов является обязательной процедурой, которая укрепляет эмаль и возвращает ей изначальный цвет и блеск.
Первоначальная чистка зубов в клинике
Обработка эмали проводится еще на этапе коррекции, во время замены пружин. При необходимости, проводится чистка замков. Решая, как отбелить брекеты, ортодонт учитывает свойства материалов, из которых они изготовлены, и свойства клея. Доктор обрабатывает проблемные участки на чистой стороне зубов и вокруг брекетов. Но, полноценно очистить эмаль невозможно, так как, велик риск повреждения или разрушения ортодонтичной конструкции. Проводится полноценное очищение зубов. Первый его этап проводится в клинике, сразу после удаления пружины и замков.
Доктор выполняет такие мероприятия:
- Стачивание клея, который остался на эмали. Процедура это довольно длительная и кропотливая.
- Удаление налета и камня, который скопился вокруг накладок во время лечения. Инородные вещества счищаются с поверхности моляров и с промежутков между ними.
- Примерка ретейнера. Ношение капы после снятия ортодонтического устройства является обязательным. Если этого не делать, то очень скоро зубы вернутся в то положение, которое занимали до лечения.
- Пациенту даются рекомендации по пользованию ретейнером, выдается лекарственный препарат, который нужно будет добавлять в фиксирующую капу.
Отбеливание после снятия брекетов можно начинать не раньше, чем через месяц. Это время необходимо для того, чтобы восстановился состав эмали, потерявшей свои качества за месяцы лечения. Кроме этого, вполне может возникнуть необходимость проведения лечения кариеса, появившегося под накладками.

Способы отбеливания зубов
Сегодня можно сделать выбор из множества препаратов, с помощью которых отбеливание зубов после брекетов проводится быстро и качественно. Решение принимается исходя из возраста пациента, состояния его зубных органов и мнения специалиста. Не стоит проводить чистку подросткам и людям преклонного возраста. У первых костная система находится в процессе формирования, у вторых эмаль настолько изношена, что очищение может ее разрушить. Решать, как отбелить зубы в брекетах, нужно только после того, как лечащий врач решит, что эмаль достаточно восстановилась и готова к косметическим процедурам.
Отбеливание при ношении ретейнера
Поскольку ношение ретейнера является обязательным мероприятием, то это временное неудобство можно использовать с пользой для внешнего вида зубов. На первом этапе в полости ретейнера добавляется лекарственный препарат на основе фтора. В течение 2-3 недель проводится реабилитация зубной эмали.
После этого можно приступать к отбеливанию. Эта процедура настолько проста, что выполнить ее может самостоятельно даже ребенок. В капу заливается специальный гель, после чего она надевается на челюсти. Через определенное время ретейнер снимается и промывается теплой водой. Зубы очищаются зубной пастой и споласкиваются. На ретейнеры гель не влияет совершенно, так как они изготовлены из устойчивого к химии полимерного пластика.
Такого воздействия вполне может быть достаточно, для того, чтобы осветлить эмаль на 3-4 тона за время ношения ретейнера. Но, далеко не всем захочется афишировать факт отбеливание моляров после снятия брекетов перед окружающими. Вполне можно воспользоваться другими методами.
Осветление зубов с помощью геля

Гель можно использовать и после того, как ношение ретейнеров закончилось. Современные препараты способны сделать эмаль ослепительно белыми, не нарушая ее структуру и качество. Кроме того, стоматологические гели совершенно безопасны для слизистой оболочки ротовой полости. Однако, глотать их не стоит, так как пользы организму это не принесет.
Наносится гель с помощью щетки или тампона. После непродолжительного хождения с открытым ртом, зубы тщательно споласкиваются и вычищаются мягкой зубной щеткой. Препараты обладают самым щадящим воздействием на эмаль.
На заметку: Но, срок отбеливания зубов после снятия брекетов таким способом может занять 3 месяца и более.
Лазерное осветление эмали
Разумеется, речь не идет о выжигании верхнего слоя эмали горячим лучом из фантастического фильма. Лазерное излучение только активирует вещества, нанесенные на потускневшую эмаль. Суть этой косметической операции состоит в том, что зубы покрываются специальным пастообразным составом, в состав которого входит перекись водорода. Под воздействием лазера начинается химическая реакция, сопровождающаяся выделением активного кислорода. Этот газ делает эмаль бесцветной за счет разрушения пигментных составляющих.
Отбеливание в домашних условиях

Достичь отличного результата в деле отбеливания зубов можно и не выходя из дома. Самостоятельное осветление позволит сэкономить массу времени и денег.
Для этого можно воспользоваться такими рецептами:
- Использование обычного лимона. Этот фрукт доступен в любой части страны. С помощью лимона устраняется желтизна и пигментные пятна. Зубы протираются долькой или коркой лимона, чистятся лечебной пастой с добавлением его сока.
- Очищение смесью перекиси водорода и пищевой соды. Смесь замешивается до состояния сметаны. Применяется как обычная лечебная паста. Пользоваться таким препаратом рекомендуется 1 раз в 3 дня.
- Листья шалфея. Их нужно перемолоть до состояния порошка и набирать из емкости влажной щеткой. Чистить можно по несколько раз в день, до достижения желаемого результата.
Осуществляя отбеливание зубов после снятия брекетов нужно не переусердствовать. Различными абразивными материалами и кислотами можно сильно повредить эмаль и слизистую. Во всех случаях лучше проконсультироваться у стоматолога.
Видео по теме
Источник: anzub.ru
Отбеливание зубов после брекетов
Получив желаемый результат после ношения брекет-систем, далеко не все пациенты приходят в восторг от вида своих зубов. Появившиеся на эмали пятна, цветовой дисбаланс между участками, которые находились под конструкцией и остальными зубами, становится для многих неприятной неожиданностью и не делает новую улыбку такой привлекательной, как хотелось изначально.
Чтобы вернуть зубам естественную белизну, бывшие обладатели брекетов обращаются за помощью к стоматологам. И действительно, специалисты быстро находят выход из сложившейся ситуации и предлагают отбеливание эмали, ведь пятна на зубах после длительного ношения устройств – вполне ожидаемое явление.

На заметку! Отбеливание зубов поможет эффективно решить проблемы с пятнами на зубах после снятия брекетов и осветлить эмаль на несколько тонов. Но перед отбеливанием стоит подождать хотя бы месяц, а если зубы в плохом состоянии – то и большее количество времени, чтобы эмаль восстановилась и окрепла. Иначе процедура может нанести зубам не пользу, а вред 1 .
Можно ли проводить отбеливание после снятия брекетов
Пациентов, которые хотят отбелить зубы сразу после удаления ортодонтических устройств, можно легко понять, ведь длительное лечение приводит к постоянному ожиданию улыбки мечты, но, когда конструкции снимают, появляются другие проблемы – пятна и изменение цвета эмали. Естественно, решить их можно при помощи современных методов отбеливания. И все же врачи советуют повременить с такими процедурами.
«Я бы рекомендовал пациентам попробовать для начала профессиональную чистку зубов, и если метод не даст нужного результата, только тогда прибегать к отбеливанию. Зубы после ношения брекетов ослаблены, а отбеливание происходит путем химической реакции, когда активные вещества проникают в верхние слои эмали и изменяют ее оттенок. Подобное воздействие является стрессом даже для полностью здоровых зубов, а что говорить об ослабленных после длительного ортодонтического лечения».
Ортодонт, стаж работы более 13 лет Иван Дудин
Поэтому основным недостатком отбеливания после снятия брекетов является тот факт, что проводить его сразу нельзя. Зубная эмаль должна быть подготовлена к процедуре, нужно дождаться, пока она перестанет быть истощенной и слабой, иначе осложнений не избежать – болезненности, повышения чувствительности зубов, реакций на холодное-горячее, повышенной склонности к появлению кариеса. Многие врачи рекомендуют даже провести реминерализацию эмали, т.е. насытить ее полезными микроэлементами для того, чтобы она стала более прочной и крепкой.
Важно! Помните, что причинами появления пятен на зубах во время ношения брекетов во многих случаях являются недостаточная гигиена полости рта, несвоевременное прохождение профилактических осмотров, употребление в пищу красящих продуктов и напитков, курение. И только иногда такое состояние эмали обусловлено наследственностью 2 .
Варианты отбеливания зубов
Сегодня существует большое количество методов, с помощью которых можно привести зубную эмаль в порядок, но все ли они подходят тем, кто только что закончил лечение брекет-системами? У каждого человека есть индивидуальные особенности, состояние слизистых полости рта и эмали играет не последнюю роль. Именно поэтому важно не заниматься самолечением в домашних условиях, а обратиться к специалисту. Только он сможет подобрать нужный состав и концентрацию веществ. Именно такое отбеливание будет не только эффективным, но и безопасным.
Профессиональная чистка зубов
Самое первое, что нужно сделать после снятия брекетов – это провести профессиональную комплексную гигиену. Очистить эмаль с помощь ультразвука, Air Flow и тщательной полировки с использованием щетки и пасты. В завершении наносится укрепляющий фторлак. Эта процедура уже на первом этапе позволит хотя бы незначительно снять пигментацию, удалить остатки налета и преобразить оттенок эмали. Кроме того, фторлак укрепит эмаль, что позволит в дальнейшем провести более качественное отбеливание.
Профессиональное отбеливание
К данным методам относится применение лазера или галогеновой лампы (фотоотбеливание). Врач наносит гель с перекисью водорода или другими действующими веществами на поверхность эмали. Далее применяется тепло или свет, в результате таких воздействий высвобождается активный кислород, проникает внутрь тканей и обесцвечивает пигментированные участки, осветляя зубы. Среди передовых технологий – ZOOM, Amazing White, LumiBrite. Методы эффективны и безопасны, поскольку проводятся под строгим контролем лечащего врача.
Домашнее отбеливание
Подразумевается использование тех же профессиональных средств, поободранных врачом, исходя из индивидуальных особенностей. Действует тот же гель, только в более низких концентрациях. Согласно инструкции специалиста пациент должен носить специальные каппы с гелем в течение определенного времени.
Важно! После отбеливания нужно стараться ограничивать себя в употреблении продуктов с яркими красителями и тщательно очищать зубы, тогда результат может сохраниться на 2-3 года.
В интернете можно найти много информации на тему: как отбелить зубы в домашних условиях. Предлагаются рецепты с содой, солью и перекисью водорода, с использованием сока лимона и пюре из свежих ягод клубники и земляники. Не у всех пациентов, снявших брекеты, хватает терпения выждать положенное время для процедуры отбеливания и подождать, пока эмаль восстановится. Решившись на подобные эксперименты с использованием народных рецептов нужно понимать – зубы после ношения брекетов очень чувствительны, а значит, вреда от таких процедур может быть больше, чем пользы.
Конечно, тем, кто носил долгое время брекеты, хочется улыбаться безупречной улыбкой. Именно поэтому лучше подождать еще немного и пройти профессиональное отбеливание эмали – эффект принесет много радости и больше уже не придется стесняться своих зубов.
1 Крихели Н.И. Современные методы отбеливания зубов.
2 По данным портала «Здоровый образ жизни. Информационный ресурс для тех, кто заботится о своем здоровье».
Источник: drbreket.ru
